细胞图片 显微

淋巴细胞末图为单核细胞#显微镜下的世界 #细胞 - 抖音
图片尺寸1440x2560
植物细胞显微图 - 抖音
图片尺寸1080x1080
第二节 植物细胞 (玻片标本的类型)-微课视频详情
图片尺寸2950x2094
来认识一下我们血液里的正常白细胞吧97#显微镜下的世界 - 抖音
图片尺寸1440x1920
洋葱根尖有丝分裂细胞的显微镜观察.图片下载
图片尺寸800x533
外周血涂片.#显微镜下的世界 ,#血细胞形态观察 ,#检验科 - 抖音
图片尺寸1440x1920
人的血液细胞,人体血液细胞, 光显微图像.
图片尺寸1024x1024
上皮细胞 关注我每天坚持分享知识#显微镜下的世界 - 抖音
图片尺寸1440x1920
洋葱内表皮细胞鳞叶显微结构图 大学药学专业药用植物作业
图片尺寸961x1280
植物细胞亚显微结构模式图(学校有比赛还是什么才画的,画完发现自己没
图片尺寸864x540
五味子&麻黄粉末显微特征图 五味子 ·种皮内层石细胞(壁厚,孔沟较大
图片尺寸1280x1706
洋葱400倍放大的细胞核
图片尺寸2000x2667
临床基础检验技术 #白细胞形态鉴别 #显微镜下的世界
图片尺寸1080x1081
显微镜下的植物细胞 - 抖音
图片尺寸1440x1718
显微镜下的细胞
图片尺寸960x960
纺锤形细胞图片
图片尺寸2448x1920
显微细胞图片第10张
图片尺寸2180x1547
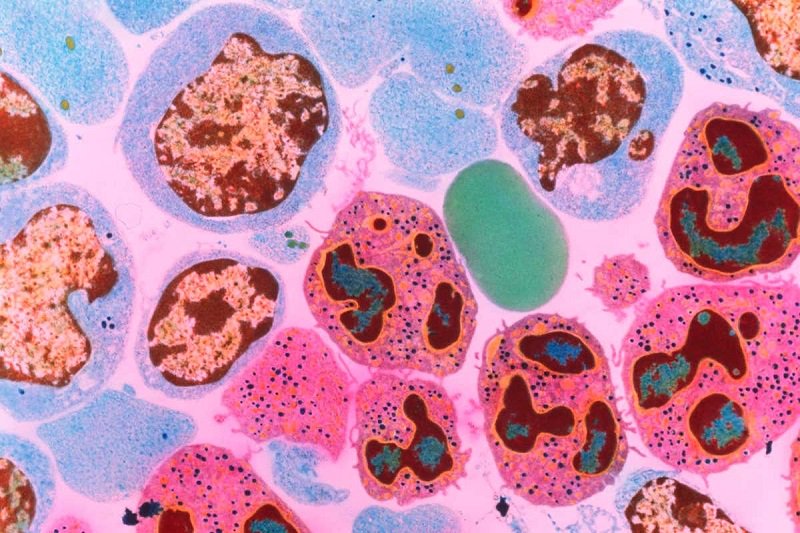
骨髓细胞的彩色透射电子显微照片.
图片尺寸800x533
求教各路检验大神!神秘消失的白细胞 无中生有的沉淀物
图片尺寸660x663
洋葱根尖和根尖有丝分裂细胞的显微镜观察.图片下载
图片尺寸408x612