细胞核染色

植物细胞细胞核染色的显微镜图像
图片尺寸1200x891
看,这就是洋葱的细胞核,很神奇吧也很漂亮吧,通过这次科学小研究我也
图片尺寸750x563
本人养的是h9c2心肌细胞,出现小的颗粒见下图,想请各路高人指教所染
图片尺寸4160x2336
植物细胞细胞核染色的显微镜图像
图片尺寸1200x891
基础细胞教学_染色
图片尺寸750x750
细胞呈圆形或卵圆形;核居中或偏位,核形规则,呈圆形或卵圆形,染色质呈
图片尺寸750x719
脑脊液常规,无色,透明,有核细胞计数30,见下图 脑脊液细胞学,瑞氏染色
图片尺寸1599x1199
核不规则形,染色质细致呈细网状.
图片尺寸1104x886
图上是用吡罗红甲基绿染色液染色的蟾蜍血涂片.
图片尺寸541x310
细胞核就是染色体=遗传物质 染色体是由23对dna组成的
图片尺寸1080x810
b图中可见胰岛β细胞(绿色),胰岛α细胞(红色)以及蓝色为细胞核染色
图片尺寸727x546
细胞核染色实验
图片尺寸1080x1437
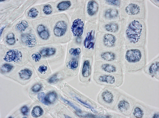
植物细胞细胞核和染色体染色的显微镜图像
图片尺寸1200x891
含大量空泡及排列似葡萄状的浅蓝色空泡,细胞核大小不一,偏位,核染色
图片尺寸640x479
植物细胞细胞核染色的显微镜图像
图片尺寸612x454
与成熟红细胞相同呈粉红色或嗜多色;胞核圆形偏位或居中,核染色质粗糙
图片尺寸1080x886
丁香园
图片尺寸3968x2976
肾形(a),马蹄形(b),不规则形(c)等,常有折叠感(c);染色质呈疏松网状
图片尺寸295x300
胞体呈圆形或椭圆形,胞核圆形,约占细胞的1/2,核染色质凝聚成索条状或
图片尺寸750x1000
森盈生物p16染色临床案例34岁hsⅠl病变细胞核大深染大小不均核浆比
图片尺寸643x989