细胞萎缩

萎缩性细胞改变(一)
图片尺寸504x378
萎缩的子宫颈鳞状上皮细胞
图片尺寸2666x2000
细胞萎缩干瘪缺氧视频素材
图片尺寸342x192
萎缩概念原因类型病理变化及结局
图片尺寸640x453
颈部假性皮萎缩
图片尺寸1000x747
蛔虫性肝硬变(肝细胞萎缩)
图片尺寸500x375
这例发萎缩可以吗?
图片尺寸3413x1920
图5-33 萎缩不除外ascus-宫颈脱落细胞-医学
图片尺寸778x644
细胞萎缩三维演示素材
图片尺寸720x576
投稿病理陷阱之印戒样细胞恶病质患者萎缩的脂肪细胞
图片尺寸543x400
萎缩
图片尺寸902x826
图4-71 萎缩性改变-宫颈脱落细胞-医学
图片尺寸777x651
投稿病理陷阱之印戒样细胞恶病质患者萎缩的脂肪细胞
图片尺寸543x406
高等教育 医学 慢性萎缩性胃炎ppt 武汉大学中南医院 印戒细胞癌
图片尺寸1080x810
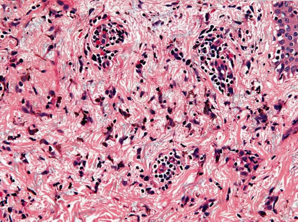
白色萎缩 真皮内小血管壁透明变性,周围炎细胞浸润
图片尺寸1000x663
10*10慢性萎缩性胃炎炎细胞浸润淋巴滤泡
图片尺寸400x464
肝,脂肪变性,肝细胞萎缩,界限不明,4x物镜
图片尺寸1360x1024
人类胚胎干细胞对肌肉萎缩症提出新认识
图片尺寸400x284
投稿病理陷阱之印戒样细胞恶病质患者萎缩的脂肪细胞
图片尺寸543x401
宫颈细胞学萎缩背景的认识(3)
图片尺寸581x303