终末细支气管

组织学与胚胎学的学习915章
图片尺寸640x611
终末细支气管结构模式图
图片尺寸1080x810
终末细支气管
图片尺寸268x305
肺支气管
图片尺寸1080x548
叶支气管 段支气管 肺 实 质 呼吸部 小支气管 细支气管 终末细支气管
图片尺寸1080x810
在正常肺组织中,支气管树逐级分支,终末细支气管分出以后,肺泡自呼吸
图片尺寸600x380
支气管blender模型
图片尺寸600x338
呼吸性细支气管
图片尺寸1080x810
交换,包括肺叶支气管,肺段支气管,小支气管,细支气管和终末细支气管等
图片尺寸917x478
胸部连续横断层解剖及ctppt
图片尺寸1080x810
肺段支气管 16
图片尺寸1080x810
小支气管(第5-10级),细支气管(第11-13级),终末细支气管(第14-16级)
图片尺寸640x700
长治医学院诊断学 细支气管
图片尺寸1080x810
细支气管和终末细支气管在光镜下如何区别
图片尺寸752x513
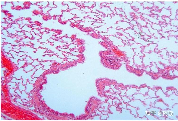
人肺终末细支气管
图片尺寸343x216
细支气管
图片尺寸1200x960
疾病查询_睾丸疾病_疾病
图片尺寸784x655
支气管命名
图片尺寸1080x810
呼吸性细支气管→…→肺泡.
图片尺寸1080x1212
影像解剖丨ct支气管解剖
图片尺寸640x605