结扎丝托槽图片

山西皓雅口腔牙齿矫正价格真不贵,金属结扎丝矫正器才4980元起-山西皓
图片尺寸640x479
普通的金属矫正器红色圈圈里的结扎丝
图片尺寸623x446
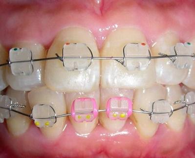
托槽周围结扎丝固定
图片尺寸640x362
简单来说,就是将金属托槽,粘结在牙齿上,再通过槽沟中的弓丝对牙齿
图片尺寸580x240
暑期太原小店区皓雅口腔做钢丝托槽牙齿矫正的费用请知晓
图片尺寸600x386
托槽,结扎丝脱落如何处理才是正解?
图片尺寸640x426
就是常说的"钢/铁牙套",使用结扎丝把弓丝固定在托槽上,是大多数人
图片尺寸1000x698
自锁托槽和普通托槽,原来区别这么大!
图片尺寸500x333
托槽,结扎丝脱落该如何处理?
图片尺寸456x299
通常靠小的结扎丝固定,结扎丝放大↓托槽粘到牙齿上之后,需要和弓丝
图片尺寸378x363
这两种牙套的主要区别在于有没有结扎丝,常规托槽是靠细细的结扎钢丝
图片尺寸5028x2864
缺点: 1,每次复诊需要拆除每个托槽上的结扎丝,再扎上结扎丝,操作
图片尺寸511x302
小技巧:正畸镍钛丝排牙保护性结扎丝--武广增
图片尺寸500x363
小技巧:正畸镍钛丝排牙保护性结扎丝--武广增
图片尺寸500x364
选托槽矫正,还得知道自锁和普通的区别!
图片尺寸500x333
固定金属托槽牙齿矫正中弓丝结扎顺序
图片尺寸439x302
图源网络侵删陶瓷自锁牙套陶瓷托槽直接带有锁扣,按下锁扣钢丝和托槽
图片尺寸399x323
陶瓷托槽,金属结扎丝托槽,隐形托槽外观对比
图片尺寸535x461
根据托槽与弓丝连接的方式不同,金属托槽矫正又可以划分为传统金属
图片尺寸1080x408
3,结扎丝或橡皮链松脱或断裂也可以用正畸蜡固定移动的托槽,如果已经
图片尺寸899x465