结核性肉芽肿镜下图

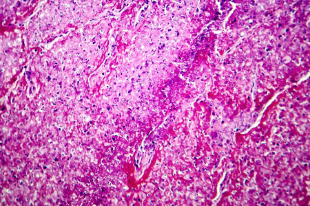
人结核性肉芽肿干酪样坏死,光镜
图片尺寸1200x800
结核肉芽肿.朗格罕斯细胞
图片尺寸700x567
图9: 胸膜活检病理可见结核肉芽肿
图片尺寸910x680
肺结核(结核性肉芽肿)
图片尺寸1123x816
肺结核非坏死性肉芽肿
图片尺寸640x488
结核性肉芽肿
图片尺寸400x274
肉芽肿
图片尺寸774x768
肉芽肺结核肉芽肿干酪化,光镜观察摄影图
图片尺寸450x300
结核性膀胱炎及bcg导致的肉芽肿病理图谱
图片尺寸661x496
生物病理显微镜切片结核性肉芽肿标本白底显微摄影教学素材
图片尺寸1200x762
狼狈为奸病理学上的典型肉芽肿总论
图片尺寸868x893
生物病理显微镜切片结核性肉芽肿标本白底显微摄影教学素材
图片尺寸1200x762
结核性膀胱炎及bcg导致的肉芽肿病理图谱
图片尺寸661x494
结核性膀胱炎及bcg导致的肉芽肿病理图谱
图片尺寸661x493
生物病理显微镜切片结核性肉芽肿标本白底显微摄影教学素材
图片尺寸1200x762
一名35岁男子,左膝关节疼痛伴肿胀,原因为何?_膝关节炎_结核_医脉通
图片尺寸600x450
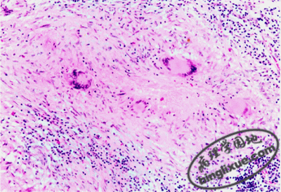
最外层覆盖有上皮样细胞与多核巨细胞,中央肉芽肿形成
图片尺寸1772x1327
图5-13 结核性肉芽肿2.
图片尺寸944x645
游泳池肉芽肿病因症状诊疗参考
图片尺寸1000x649
结核性肉芽肿结节的影像特点和鉴别诊断
图片尺寸1080x811