结核病咳出骨头

小伙子咳嗽一声,居然咳出了一个鸡骨头
图片尺寸640x762
我这是肺结核这是ct结果但是目前痰检及其他检查均为阴性
图片尺寸576x763
肺炎追凶系列(大叶实变,病情反复,最终缉凶归案)
图片尺寸2736x3648
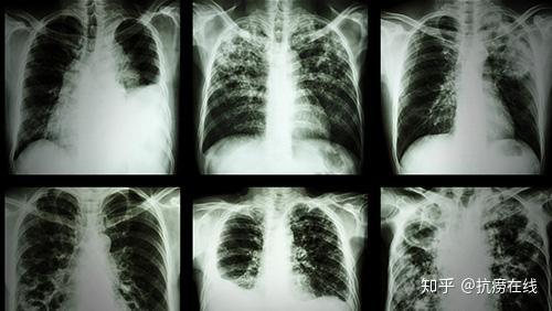
肺结核到底有多恐怖,即使完全消灭结核菌,也不能治回完好的_肺结核
图片尺寸800x508
肺炎追凶系列(大叶实变,病情反复,最终缉凶归案)
图片尺寸2736x3648
疫情期间咳成狗,她竟"咳"出了10年前的鸡骨头!
图片尺寸441x278
性咳;支气管或纵隔⑤干酪性病变液化或空洞形成时,将液化坏死物质咳出
图片尺寸500x282
肺炎追凶系列(大叶实变,病情反复,最终缉凶归案)
图片尺寸2736x3648
反复咳嗽咳痰1年,原来是鸡骨惹的祸_异物_赵先生_组织
图片尺寸2804x3738
咳嗽有痰胸痛呼吸困难低烧警惕肺结核
图片尺寸900x600
咳嗽竟然把骨头咳出来了这个病会伪装成感冒传染性很强
图片尺寸600x671
透过影像,标本看诊断 - 呼吸与胸部疾病讨论版 -丁香园论坛
图片尺寸780x1040
咳嗽,头痛,特别是晚上贫乏发作,ct报告如下,求解是否是肺结核复发
图片尺寸390x520
鄂尔多斯市中心医院健康提醒!_异物_儿童_气管
图片尺寸913x891
肺部;使肺实质产生炎变,坏死和液化,坏死部分可与支气管相通被咳出
图片尺寸1010x639
患者,男,71岁,1994年查出患肺结核.
图片尺寸612x816
照的ct报告单上面:左肺上叶及左肺下叶背段见斑片状结节状密度_肺结核
图片尺寸3264x2448
肺结核除了拍胸片,为什么还要化验痰?
图片尺寸640x395
肺炎追凶系列(大叶实变,病情反复,最终缉凶归案)
图片尺寸2736x3648
咳出一团黄色物体,我趁室友不在宿舍收拾东西去住院_医生_检查_结核
图片尺寸1080x481