结肠癌转移

结肠癌常见的转移途径有哪些,可以针对性检查
图片尺寸864x486
年轻肠癌远处淋巴结转移,化疗联合靶向后手术,治愈_结肠癌_治疗方式
图片尺寸622x919
陈功教授病例分享:结直肠癌腹膜转移,该给患者判手术"死刑"吗?
图片尺寸1162x1080
肠话短说陈功教授病例分享结直肠癌腹膜转移一个也不放弃
图片尺寸660x495
结直肠癌术后转移率高这三个问题你需要了解
图片尺寸900x500
肠话短说陈功教授病例分享知天命尽人事乙状结肠癌伴肝转移一例
图片尺寸500x765
肠话短说陈功教授病例分享结直肠癌腹膜转移一个也不放弃
图片尺寸1440x1080
肝脏转移性结直肠癌的诊治 - 好大夫在线
图片尺寸898x1304
右半结肠癌淋巴转移规律活体研究及临床数据
图片尺寸500x289
结肠癌肝转移前入路右半肝 右半结肠切除 武汉中心医院—郑小林
图片尺寸3968x2976
【万例鉴肠程】转移性结肠癌三线治疗病例分享——南昌大学第二附属
图片尺寸571x452
"肠"话短说 | 陈功教授病例分享:结直肠癌肝转移的经典治疗策略
图片尺寸624x834
右半结肠癌淋巴转移规律活体研究及临床数据
图片尺寸500x238
结肠癌伴多发性肝转移转化治疗病例
图片尺寸2259x1080
结直肠癌合并肝转移手术否大咖经验倾囊相授
图片尺寸977x505
无论有无脑转移,奥希替有无1代egfr能让患者获益_【吉康旅】
图片尺寸640x492
结直肠癌肝转移不要轻易说放弃
图片尺寸1200x921
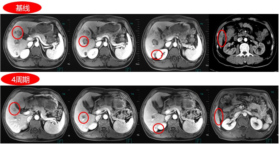
结肠癌术后复发合并肝转移的治疗
图片尺寸1991x1510
年轻肠癌远处淋巴结转移,化疗联合靶向后手术,治愈_结肠癌_治疗方式
图片尺寸622x919
结肠癌术后复发合并肝转移的治疗
图片尺寸2621x1978