缺侧切牙

下颌右侧缺一颗侧切牙,导致门牙和尖牙之间有个2.
图片尺寸1200x1600
求助各位老师们,畸形侧切牙,中切牙轻微扭转且有
图片尺寸510x287
侧切牙缺失运势(侧切牙缺了一小块能补吗)-星座时间-71星座网
图片尺寸313x209
天生缺一颗侧切牙门牙偏歪左右不对称拔了三颗牙上面一_圈子-新氧美容
图片尺寸570x570
光固化树脂修复左上侧切牙一例
图片尺寸2448x2448
多学科联合治疗上侧切牙畸形过小牙一例——孙丽艳医师
图片尺寸640x313
为什么许多人上颌的侧切牙是歪的
图片尺寸3216x1566
为什么许多人上颌的侧切牙是歪的
图片尺寸2898x1314
多学科联合治疗上侧切牙畸形过小牙一例——孙丽艳医师
图片尺寸469x230
侧切牙畸形可以这么修复
图片尺寸387x259
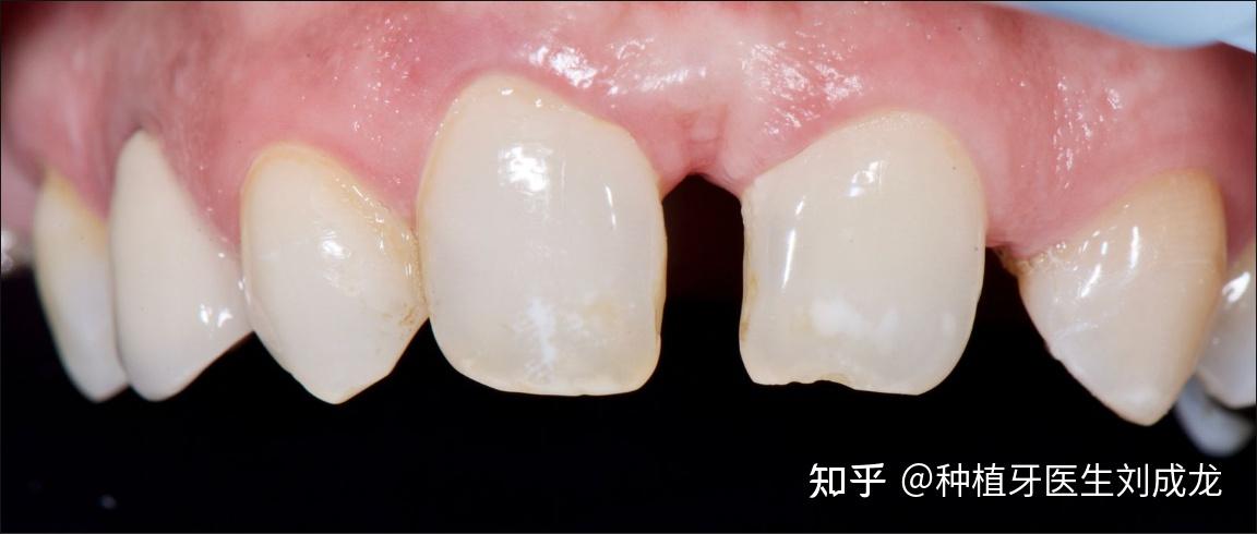
42 岁的女性患者前来医院种植科就诊,她先天缺少 22 号上颌侧切牙(图
图片尺寸1152x490
今天已手术 , 上颌侧切牙,数不清的根管!牙也成人参精了!都来数数!
图片尺寸3264x1836
多学科联合治疗上侧切牙畸形过小牙一例——孙丽艳医师
图片尺寸640x327
两个侧切牙的数字化美学种植修复--*完结篇**&
图片尺寸640x343
为什么许多人上颌的侧切牙是歪的
图片尺寸2550x1356
侧切牙错位,这个有必要矫正吗
图片尺寸1080x810
为什么许多人上颌的侧切牙是歪的
图片尺寸2472x1428
一例左上侧切牙根尖切除术
图片尺寸560x372
黄泽源医生给缺两颗侧切牙女孩用德国icx种植体修复成功啦
图片尺寸600x285
病例分享过小侧切牙的直接修复
图片尺寸1080x708