网状碳化物

渗层中出现网状碳化物不怕消除方法来了
图片尺寸1080x809
网状碳化物.jpg
图片尺寸1778x1778
渗层中出现网状碳化物不怕消除方法来了
图片尺寸1080x809
图11 t12a钢网状碳化物(500×)
图片尺寸364x240
网状分布碳化物级别金相图谱
图片尺寸479x347
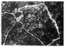
图16 网状碳化物形貌
图片尺寸299x252
网状分布碳化物级别金相图谱
图片尺寸483x342
金相显微缺陷碳化物网状
图片尺寸600x451
网状分布碳化物级别金相图谱
图片尺寸478x343
gcr15钢中网状碳化物在锻造及热处理过程中的形态变化.pdf
图片尺寸792x1149
钢材中常见显微组织有哪些?请看这组彩图!
图片尺寸603x452
网状碳化物.jpg
图片尺寸300x314
一种抑制高铬高钴渗碳钢网状碳化物组织并提高渗碳速度的渗碳方法与
图片尺寸1000x826
来个更清楚点的,试样来自渗碳后的9310齿轮,半网状碳化物不合格.
图片尺寸1920x1601
网状碳化物
图片尺寸268x196
轧后冷却速率对gcr15轴承钢球化组织的影响
图片尺寸700x529
碳化物
图片尺寸600x451
电厂闭式泵轴突然断裂原因出在沿晶分布的网状碳化物
图片尺寸1024x768
g13cr4mo4ni4v钢渗碳时粗大及网状碳化物的成因及消除
图片尺寸400x277
总结的好!高碳铬轴承钢制轴承零件球化退火组织缺陷分析
图片尺寸805x711