网状纤维染色分级

抓住漏网之鱼——血清游离轻链lambda
图片尺寸660x527
肝脏网状纤维染色文献中提到:网状结构常用来描述肝脏,淋巴结等结缔
图片尺寸1080x724
达科为带你揭秘多元病理诊断探索医学世界的奥秘
图片尺寸665x366
抓住漏网之鱼——血清游离轻链lambda
图片尺寸420x658
正文
图片尺寸2048x1536
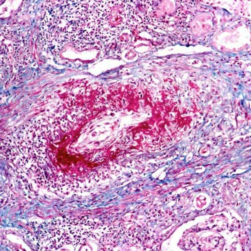
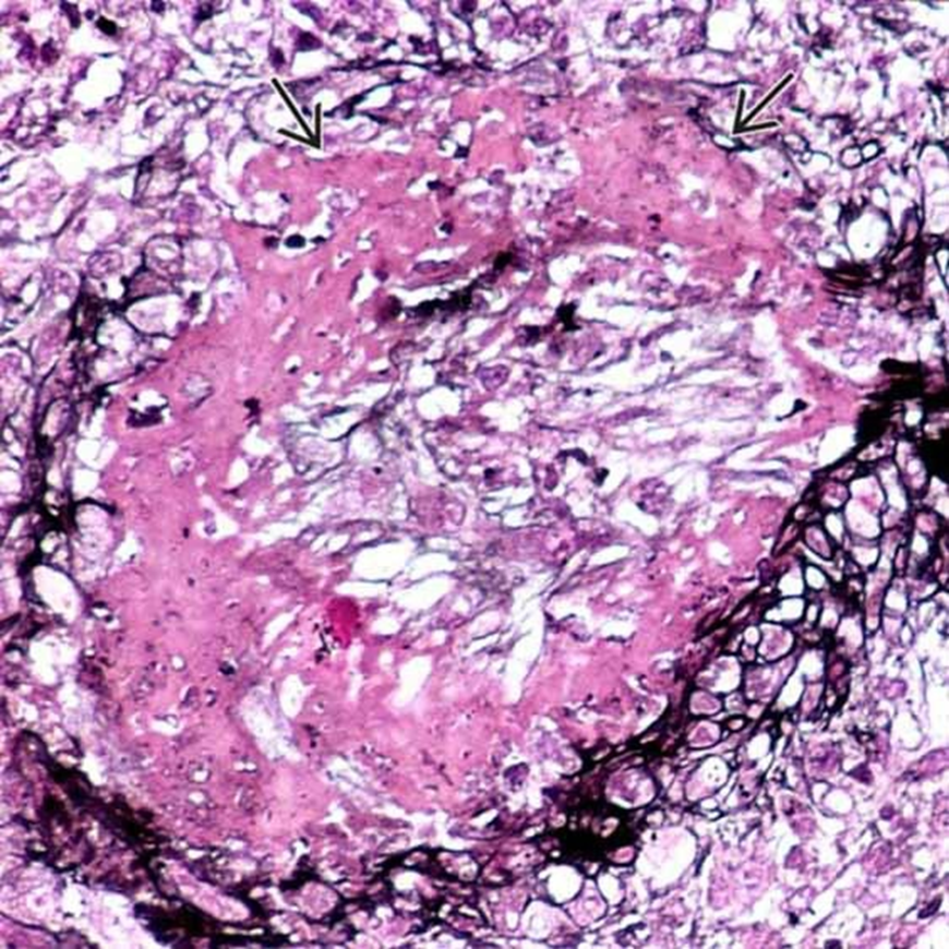
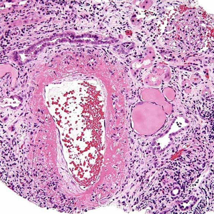
中动脉纤维蛋白样坏死结节性多动脉炎(pan)肾活检表现为环状,跨壁纤维
图片尺寸870x870
环状纤维蛋白样坏死肾脏小叶间动脉三色染色切片显示环状纤维蛋白样
图片尺寸870x870
环状纤维蛋白样坏死肾脏小叶间动脉三色染色切片显示环状纤维蛋白样
图片尺寸870x870
吸烟相关间质性肺疾病的临床表现,诊断及治疗|图文并茂
图片尺寸1052x790
网状纤维(rf)染色实验
图片尺寸381x306
在这张代表性图像中,幼芽被染色为 cd41(黄色),cd144(品红色)和细胞核
图片尺寸660x600
抓住漏网之鱼——血清游离轻链lambda
图片尺寸482x303
网状纤维染色
图片尺寸600x450
腺瘤样癌卵黄囊瘤gpc3免疫组化染色伴有血清afp水平明显升高.
图片尺寸1080x709
抓住漏网之鱼——血清游离轻链lambda
图片尺寸518x302
用于医疗植入应用的新型生物粘合网系统:兔子模型的体内评估
图片尺寸1080x1632
血小板减少的 10 大原因,最后一种很容易误诊!
图片尺寸640x644
噬血细胞综合征背后的原因是
图片尺寸660x367
图集中动脉纤维蛋白样坏死结节性多动脉炎(pan)肾活检表现为环状,跨壁
图片尺寸940x417
肝炎病理 ▏炎症分级和纤维化分期
图片尺寸900x602