翼腭窝ct

翼腭窝的ct影像解剖
图片尺寸326x334
ct入门 | 翼腭窝ct解剖,收藏必备_医学界-助力医生临床决策和职业成长
图片尺寸960x720
翼腭窝的ct影像解剖
图片尺寸337x388
翼腭窝的ct影像解剖
图片尺寸632x590
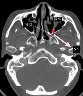
翼腭窝的ct影像解剖
图片尺寸640x592
翼腭窝的ct影像解剖
图片尺寸276x304
翼腭窝影像解剖及常见病变丨影像天地
图片尺寸960x720
翼腭窝腺样囊性癌的ct诊断
图片尺寸426x698
翼腭窝的ct影像解剖
图片尺寸640x597
翼腭窝的ct影像解剖
图片尺寸293x224
翼腭窝的ct影像解剖
图片尺寸632x414
翼腭窝的ct影像解剖
图片尺寸321x306
专业资源翼腭窝的解剖影像和临床
图片尺寸1080x720
翼腭窝的ct影像解剖
图片尺寸627x585
翼腭窝的ct影像解剖
图片尺寸513x375
翼腭窝的ct影像解剖
图片尺寸284x244
ct引导下穿刺到翼腭窝
图片尺寸1280x960
翼腭窝(ppf)解剖及影像学评价
图片尺寸800x600
翼腭窝及其通道的ct表现ppt
图片尺寸1080x810
翼腭窝的ct影像解剖
图片尺寸554x566