老年人脑积水

脑积水|老年痴呆|脑室_新浪新闻
图片尺寸640x418
老年人脑积水
图片尺寸600x233
81岁老年脑积水腰大池分流术反致颅内感染颅内出血及走路不能2年余
图片尺寸544x792
老年人反应慢是因为年纪大?也可能是脑子"进水了" 脑积水成隐形杀手
图片尺寸640x914
并发脑萎缩的老年正常压力脑积水步态不稳走路前冲不能控制
图片尺寸1062x970
老年正常压力性脑积水:痴呆,日常生活不能自理,走路特别缓慢且小碎步
图片尺寸640x484
脑积水的症状,诊断及治疗
图片尺寸1080x1330
家中老人患了老年痴呆症原来是脑积水惹的祸
图片尺寸453x503
脑积水可以治愈吗?
图片尺寸490x477
脑积水一例
图片尺寸3264x2448
也可能是脑子"进水了"|外科|手术|脑肿瘤|脑积水|脑血管_网易订阅
图片尺寸660x943
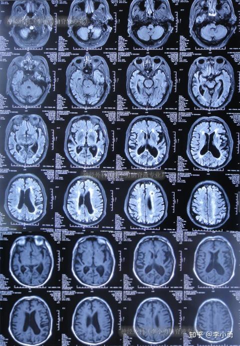
81岁老年脑积水腰大池分流术反致颅内感染颅内出血及走路不能2年余
图片尺寸488x667
老年正常压力脑积水首次腰大池分流术失败并颅内出血手术,仍脑积水
图片尺寸640x462
也可能是脑子"进水了"|外科|手术|脑肿瘤|脑积水|脑血管_网易订阅
图片尺寸660x943
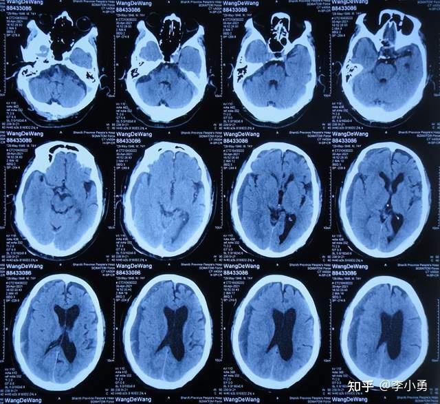
81岁老年脑积水腰大池分流术反致颅内感染颅内出血及走路不能2年余
图片尺寸481x692
老年正常压力脑积水首次腰大池分流术失败并颅内出血手术后,在多方
图片尺寸640x547
老年正常压力脑积水首次腰大池分流术失败并颅内出血手术后,在多方
图片尺寸640x587
并发脑萎缩的老年正常压力脑积水步态不稳走路前冲不能控制
图片尺寸1086x660
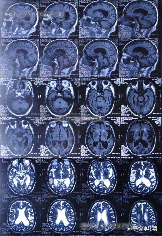
81岁老年脑积水腰大池分流术反致颅内感染颅内出血及走路不能2年余
图片尺寸551x448
正常压力脑积水,也叫正常颅压性脑积水,和人们常说的老年痴呆症
图片尺寸640x427