老年性脑改变

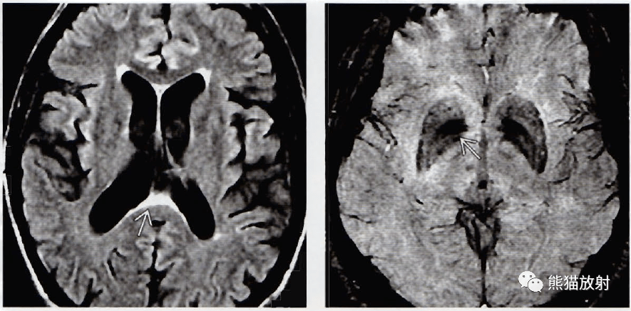
正常老年性脑改变,血管性痴呆丨影像诊断要点
图片尺寸862x435
中老年人常有记忆力下降,手脚没有过去灵活的感觉,不少人还出现耳鸣
图片尺寸960x546
正常老年性脑改变,血管性痴呆丨影像诊断要点
图片尺寸885x437
老年痴呆的大脑和正常人的到底有什么区别呢?怎么就变痴呆了呢?
图片尺寸625x482
老年性脑改变是什么病
图片尺寸1000x564
山东潍坊吉缘堂抗衰老中医药研究所|脑萎缩,小脑萎缩|老年痴呆|抗
图片尺寸660x395
什么是「脑萎缩改变」,如何与硬膜下积液相鉴别?
图片尺寸647x329
体检报告单显示老年性脑改变这是什么意思患上老年痴呆了吗
图片尺寸500x337
预防关口前移阿尔茨海默病老年痴呆预防与干预核心信息知多少
图片尺寸641x433
老年性痴呆又称阿尔茨海默病,是以进行性记忆减退,认识障碍,人格改变
图片尺寸583x444
老年脑梗怎么治疗最好【相关词_ 老年人脑梗的治疗方法】
图片尺寸2560x1920
老年性脑改变怎么办
图片尺寸1000x564
老年人出现脑萎缩切勿太担心科学使用3种药物改善大脑代谢
图片尺寸640x355
在我科治疗一周后可独立步行.左侧是他萎缩的小脑,右侧是正常人小脑.
图片尺寸3968x2976
多系统萎缩合并睡眠呼吸障碍与快速眼动睡眠行为障碍1例报道
图片尺寸2807x1671
脑萎缩是痴呆根源!不想成为儿女负担的中老年人都在这样做
图片尺寸1080x720
老年人头昏什么原因
图片尺寸500x330
在我科治疗一周后可独立步行.左侧是他萎缩的小脑,右侧是正常人小脑.
图片尺寸3968x2976
并发脑萎缩的老年正常压力脑积水步态不稳走路前冲不能控制不倒翁样
图片尺寸862x590![前几日遇到的一例神经病例,脑内脑外?初步考虑什么? [病例帖]](https://i.ecywang.com/upload/1/img0.baidu.com/it/u=1467367023,95155096&fm=253&fmt=auto&app=138&f=PNG?w=840&h=500)
前几日遇到的一例神经病例,脑内脑外?初步考虑什么? [病例帖]
图片尺寸2316x1379