肉芽肿性血管炎

前驱期长达八年的嗜酸性肉芽肿性多血管炎一例
图片尺寸1575x839
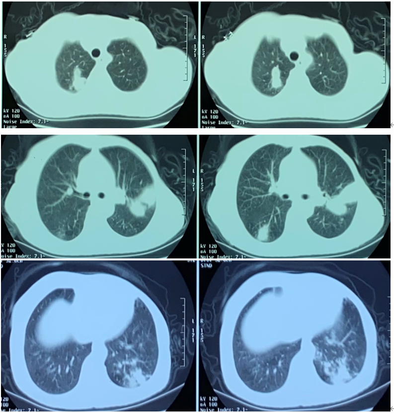
今日病例嗜酸性肉芽肿性多血管炎egpa后出现的特发性血小板减少性紫癜
图片尺寸1080x881
挑战与希望肉芽肿性多血管炎与显微镜下多血管炎中
图片尺寸390x339
今日病例嗜酸性肉芽肿性多血管炎egpa后出现的特发性血小板减少性紫癜
图片尺寸843x1012
嗜酸性肉芽肿性血管炎.jpg
图片尺寸520x414
血管炎
图片尺寸500x375
抗中性粒细胞胞浆抗体阴性肉芽肿性多血管炎1例报告并文献复习
图片尺寸619x419
三,临床特征 1,疾病的自然进程 嗜酸粒细胞性肉芽肿性多血管炎(ega))
图片尺寸390x480
search results for: 嗜酸性肉芽肿性多血管炎 - msd诊疗手册专业版
图片尺寸5130x3408
挑战与希望:肉芽肿性多血管炎与显微镜下多血管炎(中)
图片尺寸591x455
典型病例化脓性肉芽肿
图片尺寸1024x683
过敏性血管炎和肉芽肿病的饮食禁忌 其治疗方法有哪些
图片尺寸535x300
肉芽肿伴多血管炎(眼部检查)
图片尺寸1410x530
"不走寻常路"的肉芽肿性血管炎|病例分享-友友
图片尺寸793x831
病例讨论| 一例嗜酸性肉芽肿性多血管炎
图片尺寸960x720
变应性肉芽肿血管炎
图片尺寸200x167
肉芽肿性多血管炎(肺部病变)
图片尺寸1146x749
【病案】肉芽肿血管炎到支气管狭窄伴急性呼衰
图片尺寸804x441
首页 标签:"血管炎"(共找到约32条相关新闻)
图片尺寸600x374
238期轮值病例嗜酸性肉芽肿性多血管炎
图片尺寸960x720