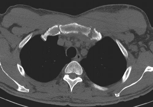
肋骨肿瘤ct图片

肋骨恶性肿瘤轻松学习胸部影像
图片尺寸305x318
肋骨肿瘤一例
图片尺寸640x480![【影像读片】肋骨肿瘤 典型病例分享 有病理——结果已公布 [病例帖]](https://i.ecywang.com/upload/1/img2.baidu.com/it/u=50075491,1316881415&fm=253&fmt=auto&app=138&f=JPEG?w=500&h=600)
【影像读片】肋骨肿瘤 典型病例分享 有病理——结果已公布 [病例帖]
图片尺寸1334x1600
肿瘤看看片子肋骨病变待查
图片尺寸2592x1944
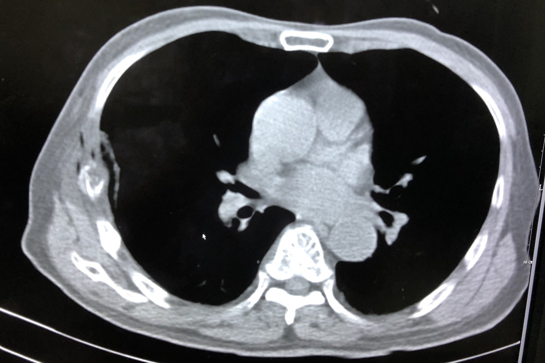
肋骨,胸内巨大肿瘤
图片尺寸2667x2000
术前ct可见肋骨破坏,患者局部疼痛明显.
图片尺寸1862x1242
肋骨病变ct总结多图
图片尺寸414x500![【影像读片】肋骨肿瘤 典型病例分享 有病理——结果已公布 [病例帖]](https://i.ecywang.com/upload/1/img1.baidu.com/it/u=3353179387,1464044561&fm=253&fmt=auto&app=138&f=JPEG?w=500&h=600)
【影像读片】肋骨肿瘤 典型病例分享 有病理——结果已公布 [病例帖]
图片尺寸1334x1600
肋骨病变ct总结多图
图片尺寸500x429
rsna精选内容肋骨肿瘤肿瘤样病变及获得性非创伤性病变的影像诊断基本
图片尺寸960x720![【读片】肋骨病变 [病例帖]](https://i.ecywang.com/upload/1/img2.baidu.com/it/u=2328567336,1272042477&fm=253&fmt=auto&app=138&f=JPEG?w=578&h=500)
【读片】肋骨病变 [病例帖]
图片尺寸1152x996
【影像读片】肋骨肿瘤 典型病例分享(二) 有病理——结果已公布 [病例
图片尺寸1334x1600
出车祸断了四根肋骨,却因此救回一命,不是开玩笑吧?
图片尺寸3648x2736
肋骨肿瘤 - 呼吸与胸部疾病讨论版 -丁香园论坛
图片尺寸1025x1025
肋骨病变ct总结多图
图片尺寸500x350
【影像读片】肋骨肿瘤 典型病例分享(二) 有病理——结果已公布 [病例
图片尺寸1334x1600
肋骨转移瘤的鉴别诊断
图片尺寸1750x1627
磁共振及多排ct平扫 重建,显示患者第6,7肋骨及第7胸椎骨肿瘤
图片尺寸640x853
肋骨溶骨性改变petct提示考虑肋骨浆细胞瘤
图片尺寸3120x4160
急求右二肋巨大软骨肉瘤伴胸腔积液治疗方案
图片尺寸3264x2448