肌成纤维细胞

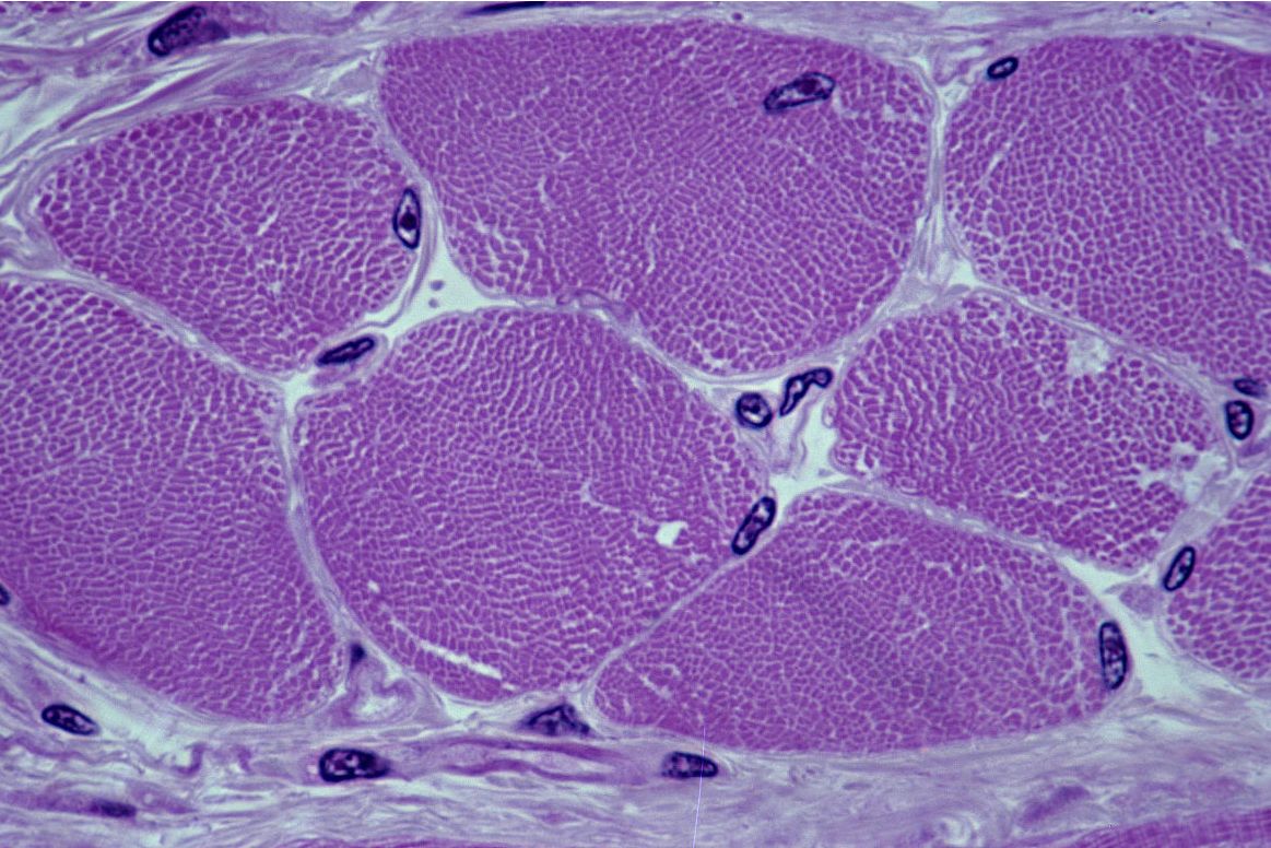
肌纤维=肌细胞 结构
图片尺寸938x580
丁香园论坛
图片尺寸4800x3600
rat-icell-s006 大鼠骨骼肌成纤维细胞/免疫荧光鉴定
图片尺寸1460x884
肌成纤维细胞
图片尺寸1163x776
肌成纤维细胞:伤口愈合的重要参与者_治疗_研究_包括
图片尺寸835x575
成纤维细胞
图片尺寸632x474
图骨骼肌纤维光镜结构模式图
图片尺寸1080x810
大鼠骨骼肌成纤维细胞
图片尺寸325x311
大鼠心肌成纤维细胞
图片尺寸418x391
类型: 肌 肉 组 织 平滑肌 心肌 肌细胞 骨骼肌 肌细胞 细胞: 肌细胞
图片尺寸1080x810
细胞的分化ppt
图片尺寸1080x810
在充分的力量刺激且营养供给之下,构成肌肉的成千上万条肌纤维会逐渐
图片尺寸475x550
肌肉损伤与成纤维细胞
图片尺寸850x606
人体组织学与解剖学 成纤维细胞
图片尺寸1080x810
操作方法:心肌成纤维细胞传代(第3代)后直接加入这几种培养基,照片是
图片尺寸1000x750
sciencell 皮肤成纤维细胞
图片尺寸789x531
2《细胞的多样性和统一性》课件(新人教版必修1)ppt
图片尺寸1080x810
小鼠骨骼肌成纤维细胞
图片尺寸507x319
肌纤维的类型
图片尺寸1280x961
成体骨骼肌细胞的培养方法及注意事项
图片尺寸932x583