肌纤维细胞图片

大鼠骨骼肌成纤维细胞
图片尺寸325x311
大鼠骨骼肌成纤维细胞/免疫荧光鉴定
图片尺寸1460x884
心肌细胞横纹肌纤维照片
图片尺寸375x300
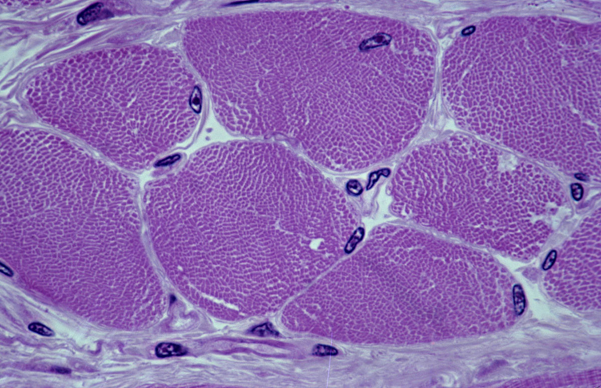
肌纤维,细胞核,显微镜,显微图片,光显微图
图片尺寸1200x696
p>肌纤维细胞生长因子又称肌 a href="#" data-lemmaid="658581">
图片尺寸1200x775
了解肌纤维增肌才能事半功倍
图片尺寸1080x837
小鼠骨骼肌成纤维细胞
图片尺寸704x525
小鼠骨骼肌成纤维细胞
图片尺寸507x319
骨骼肌纤维
图片尺寸1200x960
肌纤维是肌肉细胞吗那它的细胞核在哪里
图片尺寸2048x1536
自体成纤维细胞除皱居然是这样的抗衰方式
图片尺寸900x500
那么在没有施加训练负荷的情况下,肌肉用进废退,肌纤维本身会不断的
图片尺寸376x316
自体成纤维细胞|自体成纤维细胞-香港蓓赛尔生物科技有限公司
图片尺寸498x221
成纤维细胞
图片尺寸632x474
1,成纤维细胞呈梭形或扁的星状,具有突起,细胞和细胞核较大,轮廓清楚
图片尺寸1080x810
图骨骼肌纤维光镜结构模式图
图片尺寸1080x810
用denba电场保鲜装置冷冻解冻牛肉,可大幅降低细胞液的流失/国家级
图片尺寸640x323
神经肌肉接点显微照片显示运动神经纤维,轴突末端和骨骼肌纤维细胞
图片尺寸800x525
肌成纤维细胞:伤口愈合的重要参与者_治疗_研究_包括
图片尺寸835x575
细胞的骨架体系,微管,微丝,中间纤维 肌纤维束 肌纤维/肌细胞 肌原
图片尺寸1080x810