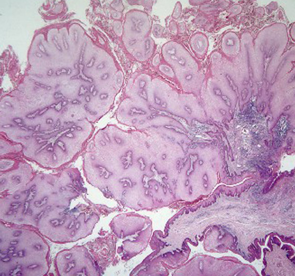
肛门疣鳞状上皮

肛门疣扁平疣复发图片_有来医生
图片尺寸800x671
肛门疣的早期症状图片
图片尺寸600x432
中期尖锐湿疣图片_有来医生
图片尺寸500x500
肛门疣扁平疣图片_有来医生
图片尺寸800x421
大便不全性失禁伴尖锐湿疣一例
图片尺寸3936x5248
肛门疣图片肛门疣,是一种疣可发生在直肠.
图片尺寸720x720
求诊断,治疗方案 - 皮肤与性传播疾病讨论版 -丁香园论坛
图片尺寸2448x3264
儿童肛周大面积尖锐湿疣症状图片
图片尺寸640x360
肛管内的尖锐湿疣是因为人乳头瘤病毒(hpv)侵犯到了肛管皮肤黏膜而
图片尺寸868x483
肛门疣病是目前临床上很常见的性传播疾病之一,它与性生活有着很密切
图片尺寸450x270
p data-id="gnbqyolafj">疣病是临床上较常见的一种病毒感染性皮肤病
图片尺寸600x560
男性初期小疣体图片_症状(初期小疣体图片)-九九号
图片尺寸1024x683
皮肤异常,不放大的话基本看不见,医生您看这个是尖锐湿疣早期的症状么
图片尺寸690x938
是人乳头瘤病毒,一种球形dna病毒,能引起人体皮肤黏膜的鳞状上皮增殖
图片尺寸617x517
肛内疣体长满了
图片尺寸500x342
身上这些小疙瘩,有可能跟hpv有关丨西安邱学华医院_皮肤_病毒_乳头
图片尺寸1080x986
低危型 hpv(lr-hpv)会诱发上皮组织良性增生的,目前已鉴定有 12 型
图片尺寸640x429
主要侵犯人体的鳞状上皮细胞,引起各类疣状皮肤疾病
图片尺寸868x483
"偏爱"肛门生殖器上皮的亚型图片寻常疣,跖疣可能和hpv1,2和4型感染
图片尺寸500x301
肛周疣体疯长,要考虑1个原因
图片尺寸1728x1080