肝内胆管结石CT

一例特殊的胆总管结石 - 肝胆外科讨论版 - 爱爱医医学论坛
图片尺寸2448x3264
得了肝内胆管结石能不能通过微创手术取结石
图片尺寸557x439
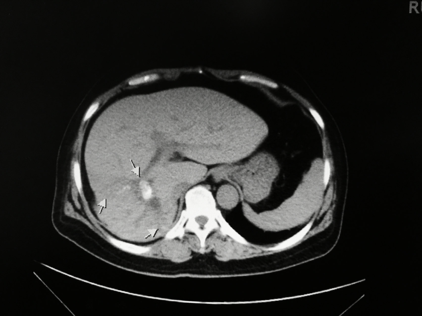
【读片】肝内胆管结石?请教各位!
图片尺寸512x512
胆系结石(上腹部ct平扫)胆囊
图片尺寸1280x1706
肝内胆管结石的是是非非!
图片尺寸852x640
ct显示肝内外胆管均有结石.
图片尺寸500x375
术前ct示肝内胆管结石.
图片尺寸500x350
ct横断面可见结石自下而上填满胆总管.
图片尺寸1202x1200![【病例讨论】肝胆管结石病例 求最佳手术方案 [病例帖]](https://i.ecywang.com/upload/1/img1.baidu.com/it/u=1726651413,2687912510&fm=253&fmt=auto&app=138&f=JPEG?w=667&h=500)
【病例讨论】肝胆管结石病例 求最佳手术方案 [病例帖]
图片尺寸5184x3888
急腹症影像:胆道结石ct表现!
图片尺寸1920x1080
肝内胆管结石的是是非非!
图片尺寸1704x1278
ct显示 肝内胆管多发高密度结石
图片尺寸2255x1526
相关疾病: 肝内胆管结石
图片尺寸512x512
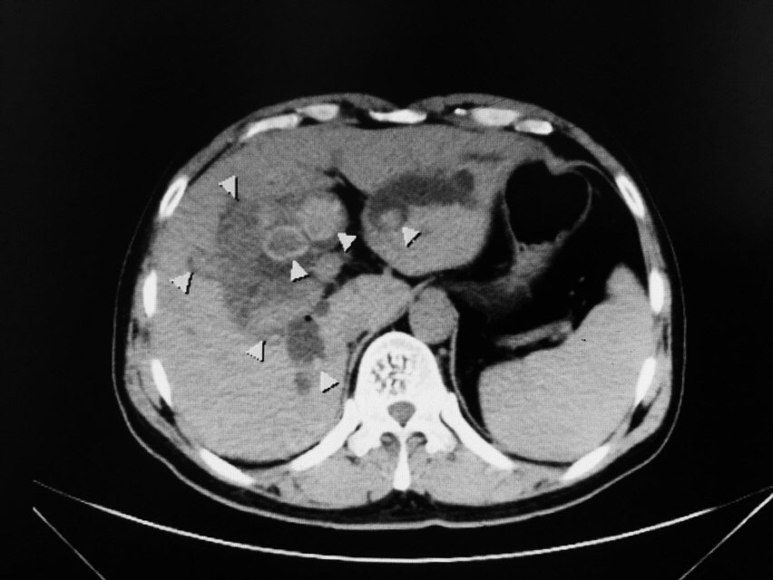
【读片】肝内胆管结石?请教各位!
图片尺寸512x512
术前ct提示肝内胆管囊性扩张伴肝内胆管结石术后ct提示肝内胆管结石
图片尺寸398x311
肝内胆管结石手术治疗
图片尺寸680x497
胆系结石(上腹部ct平扫)胆囊
图片尺寸1280x1706
急腹症影像:胆道结石ct表现!
图片尺寸1920x1080
急腹症影像:胆道结石ct表现!
图片尺寸1920x1080
多发肝内胆管结石求良策
图片尺寸512x512