肝动脉造影图片

肝动脉造影,肝门区见肝血管瘤影像
图片尺寸1301x1193
肝动脉造影,明确肿瘤染色
图片尺寸1985x1896
肝动脉造影可见浅淡染色
图片尺寸2666x2000
火眼金睛肝动脉造影术让肝脏小肿瘤无所遁形
图片尺寸1280x963
肝动脉造影示肝右叶巨大血管瘤,大小19x15cm,累计盆腔,腹盆腔肠管受压
图片尺寸1080x1440
(数字减影血管造影技术)引导下经皮经肝途径胆道钳夹活检术(如下图示)
图片尺寸896x668
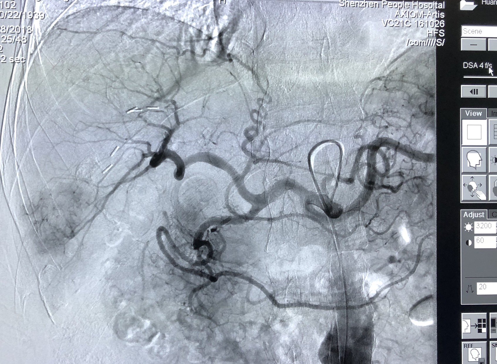
肝动脉dsa造影,肿瘤血管增多,增粗,紊乱,肿瘤染色明显.
图片尺寸2000x2028
栓塞满意后,微导管退至肝右动脉造影:肝右后叶肿瘤碘油沉积良好,原
图片尺寸2637x2130
肝动脉造影显示:肝动脉代偿增粗,血流增加.
图片尺寸2000x2674
肝动脉造影检查示:肝动脉普遍稀小,肝右叶动脉小分支见散在对比剂外渗
图片尺寸1598x1198
术前造影示肝动脉和脾动脉供血
图片尺寸854x640
降主动脉造影,显示主要分支血管,肝动脉部分显影肝肿瘤包膜自腹腔干
图片尺寸3120x4160
dsa下肝动脉造影,肿瘤供血血管清晰可见通过导管向肝动脉注入栓塞颗粒
图片尺寸601x553
青年男性肝癌双肺多发转移,口服乐伐替尼后行tace治疗,造影见肝动脉
图片尺寸1650x1240
经导管肝动脉灌注化疗 栓塞. 手术者:唐元贵 周康源
图片尺寸1198x1598
予灌注化疗并栓塞降主动脉造影,显示主要分支血管,肝动脉部分显影
图片尺寸3120x4160
腹腔干造影:肝动脉未显影.
图片尺寸2771x2130
案例2,老年男性,未口服靶向药物,肝动脉造影右肝肿瘤染色,介入栓塞后
图片尺寸1694x1242
肝动脉造影示多发血窦染色
图片尺寸1199x1599
经肝动脉造影可见门脉癌栓染色,行载药微球栓塞治疗.
图片尺寸3319x2151