肝包囊虫病

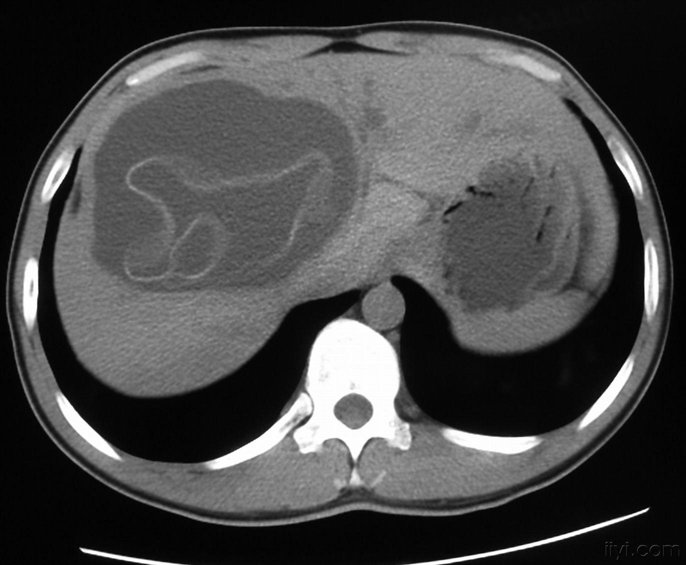
每日一例1212肝包虫病54岁男腹痛肝区不适
图片尺寸960x720
典型肝囊虫病
图片尺寸1354x1064
肝左静脉(镊子标记处)
图片尺寸3264x2448![复杂肝包虫切除术一例 [病例帖]](https://i.ecywang.com/upload/1/img2.baidu.com/it/u=2506970802,3457751025&fm=253&fmt=auto&app=138&f=JPEG?w=667&h=500)
复杂肝包虫切除术一例 [病例帖]
图片尺寸4032x3024
肝囊肿包虫病傻傻分不清楚
图片尺寸1080x1440
冤枉啊,没吃生肉生菜怎么也得"肝包虫病"呢? - 好大夫在线
图片尺寸1600x1063![复杂肝包虫切除术一例 [病例帖]](https://i.ecywang.com/upload/1/img0.baidu.com/it/u=1243834552,1873686478&fm=253&fmt=auto&app=138&f=JPEG?w=667&h=500)
复杂肝包虫切除术一例 [病例帖]
图片尺寸3264x2448
我们常说的肝包虫病是什么?寄生虫是其发病原因,要做好预防保护
图片尺寸500x341
肝包虫(泡状棘球蚴)
图片尺寸512x512
【病例】肝包虫病
图片尺寸1001x752
肝包虫囊肿
图片尺寸500x375
女子爱吃烤肉五分熟竟患罕见肝包虫病哈市一院完整切除排球大小肝占位
图片尺寸550x550
肝包虫(泡状棘球蚴)_手机搜狐网
图片尺寸512x512
肝包虫病的病因
图片尺寸480x360
肝脏包虫
图片尺寸1080x1440
清华长庚援藏医师成功救治肝包虫病患儿
图片尺寸1962x821
每日一例1212肝包虫病54岁男腹痛肝区不适
图片尺寸960x720
每周诊疗笔记之肝包虫病外科治疗
图片尺寸2304x1728
计算机三维可视化重建技术在肝泡型包虫病切除术中的应用
图片尺寸2756x1989
典型肝囊虫病
图片尺寸1372x1130