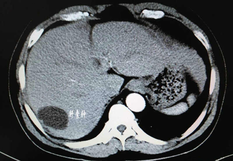
肝右叶囊肿

肝囊肿会不会恶化,需不需要手术?危害不能小觑,不必紧张焦虑
图片尺寸516x520
肝囊肿需要治疗吗?
图片尺寸418x363
请问:多发性肝囊肿严重吗,需要注意什么? | 101健康网
图片尺寸640x437
我院介入科成功开展首例"肝囊肿无水酒精硬化"治疗
图片尺寸571x555
【共享】这么漂亮的肝囊肿,您见过吗?
图片尺寸640x853
肝囊肿是个啥体检知道点
图片尺寸382x235
完全腹腔镜下肝右后叶裸区囊肿开窗引流术成功,矿务局中心医院肝胆
图片尺寸3264x1840
肝囊肿需要治疗吗
图片尺寸400x326
肝囊肿需要治疗吗? - 好大夫在线
图片尺寸545x204
【共享】这么漂亮的肝囊肿,您见过吗?
图片尺寸3264x2448
【共享】这么漂亮的肝囊肿,您见过吗?
图片尺寸640x853
肝囊肿多大cm需要手术(肝囊肿多大需要治疗)
图片尺寸640x480
体检查出肝囊肿是"癌"吗?长这样要当心!
图片尺寸524x393
肝囊肿是怎么回事
图片尺寸500x350
巨大肝囊肿的微创治疗之腹腔镜肝囊肿开窗 - 好大夫在线
图片尺寸4032x3024
肝囊肿 - 好大夫在线
图片尺寸4608x3456
肝囊肿是体检或者平常做b超查的时候,b超上经常发现有肝囊肿,有黍候
图片尺寸1188x1280
位于第一肝门区的右前叶囊肿的介入治疗
图片尺寸2048x1360
肝囊肿是什么原因引起的?
图片尺寸800x552
穿刺注射5月后右肝囊肿萎缩至3cm以下
图片尺寸600x600