肝圆韧带超声

肝左内外叶的超声分界(肝圆韧带-门静脉左支矢状部-静脉韧带)
图片尺寸600x450
揭秘肝脏的泄洪闸肝圆韧带
图片尺寸900x610
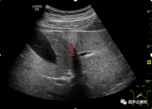
如下图:再来看另外几例以上几个图均在镰状韧带旁可见一高回声结节
图片尺寸611x452
静脉韧带 s8 剑突下纵切面 s3 s2 s1 xa 肝上缘 - 抖音
图片尺寸1024x768
听到肝脏的sos其实,超声就可以帮助我们很多人也因此耽误了治疗都不会
图片尺寸1024x719
肝脏超声 - 美篇
图片尺寸2667x2000
揭秘肝脏的泄洪闸肝圆韧带
图片尺寸900x720
消化系统 肝脏图像
图片尺寸900x675
肝,胆疾病超声诊断ppt
图片尺寸1080x810
肝脏超声诊断_门静脉
图片尺寸1080x904
在超声上,肝圆韧带的肝内段我们借助肝脏背景可以很容易观察到,而离开
图片尺寸640x512
典型图片61sappey静脉_超声
图片尺寸1080x780
一组肝硬化图片 - 超声医学讨论版 - 爱爱医医学论坛 - 爱爱医医学网
图片尺寸684x480
肝脏疾病的超声诊断 肝圆韧带 logo your site here
图片尺寸1080x810
肝脏占位 - 超声医学讨论版 - 爱爱医医学论坛
图片尺寸3341x2331
肝脏超声弹性检查临床医生需要知道什么
图片尺寸640x562
犬肝脏增大通过超声评估的3种方法
图片尺寸640x432
肝脏解剖及超声表现
图片尺寸960x720
肝脏超声检查方法
图片尺寸638x479
肝镰旁脂肪浸润_手机搜狐网
图片尺寸608x436