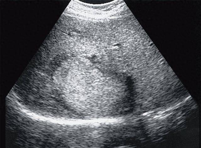
肝多发囊肿

肝多发囊肿,满天星828282,微创解决!
图片尺寸1706x1279
肝多发囊肿,最大6.5x5.1cm!病在肝郁脾虚
图片尺寸640x509
肝多发囊肿,满天星828282,微创解决!
图片尺寸1706x1279
肝多发囊肿,最大6.5x5.1cm!病在肝郁脾虚
图片尺寸640x473
肝脏囊肿不会恶变,这是最好的.它不会变成不好的东西,它只会两种
图片尺寸1080x1920
肝多发囊肿,最大6.5x5.1cm!病在肝郁脾虚,老中医疏肝调治
图片尺寸1280x1094
原发性肝脏多发囊肿治疗方案探讨
图片尺寸985x691
多发性肝囊肿对身体有什么危害?_影响_压迫_体积
图片尺寸448x291
肝多发囊肿,最大6.5x5.1cm!病在肝郁脾虚
图片尺寸640x446
重庆患者,肝内多发囊肿,最大6.0x5.
图片尺寸1080x687
吉林患者,多发肝囊肿,没做手术,吃药2个月的结果很满意
图片尺寸550x318
肝囊肿,最大6x4,中医先治本再治标,前2个月补益,后3个月消肿
图片尺寸764x470
重庆患者,肝内多发囊肿,最大6.0x5.
图片尺寸982x512
肝囊肿虽非大病,但危害也不容小觑,常做这3件事或能助你赶走它!
图片尺寸1104x752
体检查出来的肝囊肿,通常都在5厘米以下,因为这种大小的囊肿,对脏腑没
图片尺寸640x424
45岁女性患者,肝脏一个4cm的囊肿居然不需要治疗?_症状_进行_大小
图片尺寸640x328
肝囊肿是体检或者平常做b超查的时候,b超上经常发现有肝囊肿,有黍候
图片尺寸1188x1280
腹腔镜肝囊肿开窗引流术"硬化剂救场"典型病例
图片尺寸3840x2160
多发巨大肝囊肿一例
图片尺寸2000x1500
重庆患者,肝内多发囊肿,最大6.0x5.
图片尺寸451x496