肝小叶光镜图

肝——肝小叶·气管·肺脏·肾脏·甲状腺·指皮·头皮··以上为部分
图片尺寸3120x4160
图443肝小叶
图片尺寸1152x1052
肝小叶,肝组织 医学课件
图片尺寸1080x810
而且很多病理书上的图片肝小叶也不明显,两个蜡块是同一只鼠的肝脏
图片尺寸2048x1536
组胚红蓝手绘肝小叶门管区肾小体
图片尺寸1080x1080
高倍镜下肝小叶和门管区红蓝铅笔手绘图
图片尺寸960x720
患上乙肝为何难治愈
图片尺寸728x632
臭氧氧化预处理对大鼠肝缺血再灌注损伤的保护作用-德国佐斯曼臭氧
图片尺寸779x821
而且很多病理书上的图片肝小叶也不明显,两个蜡块是同一只鼠的肝脏
图片尺寸2048x1536
图2 正常人的肝脏是由肝细胞组成的肝小叶构成的图3 圈中可见两个再生
图片尺寸504x330
试验对虾肝胰脏组织切片:肝小叶饱满,排列紧密有序,星形管腔明显,肝
图片尺寸1020x767
肝小叶
图片尺寸409x204
实验室生理学教育显微镜下的肝脏组织.
图片尺寸1200x800
肝小叶
图片尺寸300x225
肝小叶和门管区 肝小叶和门管区的高倍观 红蓝铅笔手绘
图片尺寸1028x1280
组胚绘图10肝人肝小叶和门管区
图片尺寸1080x1080
肝脏的光学显微镜照片
图片尺寸1200x795
高倍镜下肝小叶和门管区红蓝铅笔手绘图
图片尺寸1536x2048
图2 正常肝小叶急性肝炎和慢性肝炎病理鉴别图3 急性肝炎以小叶炎症为
图片尺寸640x467
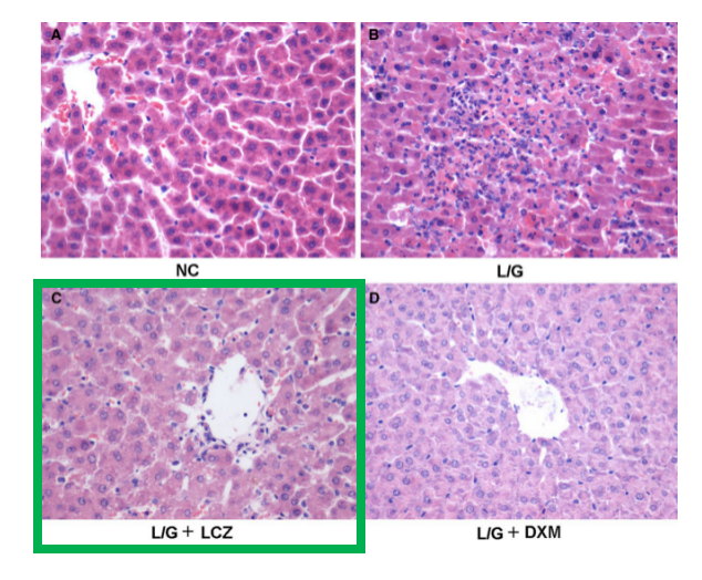
科拓研发干酪乳杆菌zhang保肝护肝新突破
图片尺寸634x524