肝母细胞瘤

儿童肝母细胞瘤
图片尺寸1706x1279
巨大肝母细胞瘤获得成功治愈_肝母细胞瘤_治疗方式_日常注意事项 - 好
图片尺寸602x549
肝母细胞瘤
图片尺寸2976x3968
儿童肝母细胞瘤
图片尺寸423x423
病例解析 | 肝母细胞瘤
图片尺寸843x439
一例罕见的成人肝母细胞瘤…… 术者:李庆东罗鲜樟沈艾.
图片尺寸750x509
上海东方肝胆外科医院成功救治低龄巨大肝母细胞瘤患儿
图片尺寸875x663
肝母细胞瘤常见问题解答
图片尺寸2554x1736
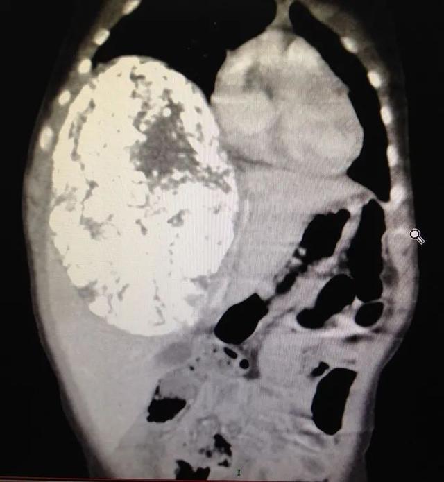
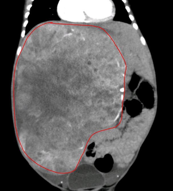
【请教】是肝母细胞瘤吗?
图片尺寸2560x1920
儿童肝母细胞瘤
图片尺寸500x372
原创深圳4岁宝宝肚大如孕妇0202元凶竟是恶性肿瘤肝母细胞瘤
图片尺寸700x1068
肝母细胞瘤
图片尺寸800x279
首儿医典肝母细胞瘤
图片尺寸640x695
肝母细胞瘤
图片尺寸3968x2976
【答案解析】_关于肝母细胞瘤,叙述错误的有()
图片尺寸501x421
儿童肝母细胞瘤
图片尺寸428x610
肝母细胞瘤
图片尺寸272x240
13天婴儿的生死48小时「巨大肝母细胞瘤完整成功切除」
图片尺寸2054x1383
"变大为小,变不治为可治"——肝母细胞瘤介入治疗的魅力_肝母细胞瘤
图片尺寸960x720
手术联合化疗治疗巨大肝母细胞瘤_肝母细胞瘤_肝母细胞瘤治疗方式
图片尺寸606x668