肝炎性假瘤

肝脏炎性假瘤的诊治_肝肿瘤_症状表现_检查_治疗方式 - 好大夫在线
图片尺寸2885x3030
肝脏炎性假瘤的诊治_肝肿瘤_症状表现_检查_治疗方式 - 好大夫在线
图片尺寸3229x2322
肝脏炎性假瘤的诊治_肝肿瘤_症状表现_检查_治疗方式 - 好大夫在线
图片尺寸2638x2124
肝脏炎性假瘤的影像表现
图片尺寸960x720
肝脏罕见的良性肿物:炎性假瘤 - 好大夫在线
图片尺寸2954x2537
肝脏罕见的良性肿物:炎性假瘤 - 好大夫在线
图片尺寸2831x3093
2024-07-12 当地医院mdt考虑右肺病灶为炎性假瘤形成可能,建议胸外科
图片尺寸715x538
体检发现肝占位2个月余上海中山医院病例
图片尺寸394x375
【专题综述】肝炎性假瘤的ct表现及病理分析
图片尺寸927x664
肝炎性假瘤影像学表现
图片尺寸987x746
肝脏炎性假瘤影像表现
图片尺寸960x720
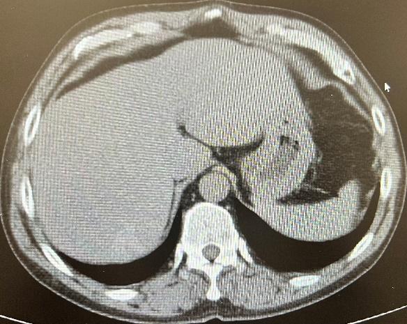
肝炎性假瘤:肝脏s6段可
图片尺寸641x411
肝脏炎性假瘤需要手术吗
图片尺寸584x465
肝脏罕见的良性肿物:炎性假瘤 - 好大夫在线
图片尺寸2488x2488
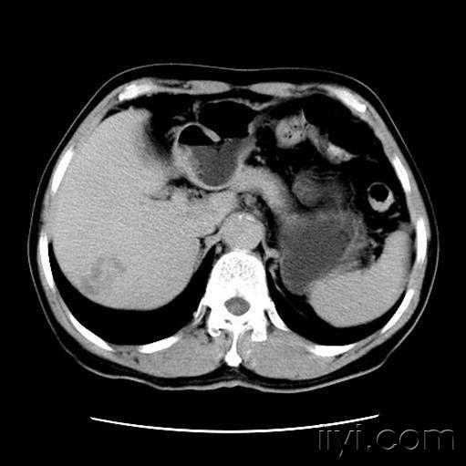
肝脏炎性假瘤
图片尺寸511x511
总结:肝脏炎性假瘤发病率低,但病变表现多样化,较易与肝细胞癌
图片尺寸999x646
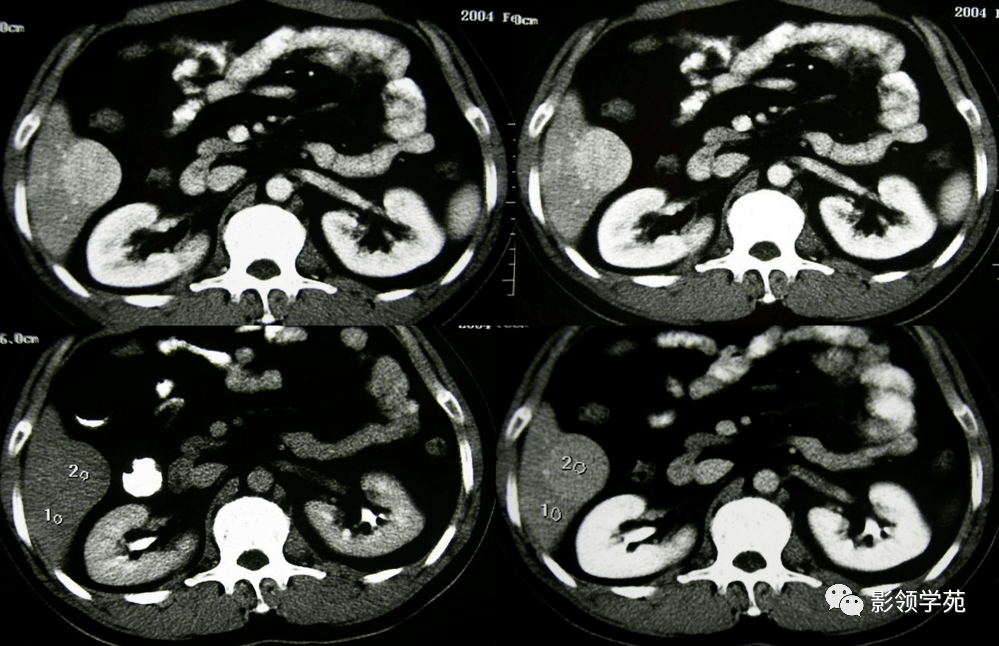
肝脏炎性假瘤
图片尺寸485x403
肝脏炎性假瘤的mri表现
图片尺寸1517x2144
【专题综述】肝炎性假瘤的ct表现及病理分析
图片尺寸891x684
炎性假瘤(病灶形态不规则,边缘可呈刀切样,周围可见毛玻璃样改变,强化
图片尺寸820x704