肝癌增强ct图片

不抛弃,不放弃!晚期肝癌男子在协和金银湖院区重获新生
图片尺寸1200x675
肝癌的检出率并与肝脏局灶性增生结节,肝腺瘤等鉴别有很大帮助,可作ct
图片尺寸998x668
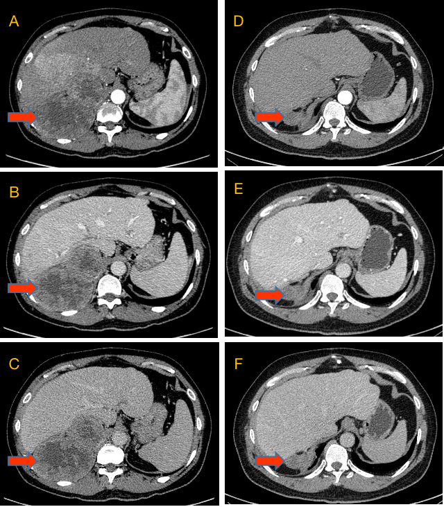
原发性肝癌/肝血管瘤/肝囊肿增强ct表现
图片尺寸2520x1680
原发性肝癌诊疗规范(2021年版)发布新药或新治疗方案
图片尺寸832x600
Ⅷ段巨大肝血管瘤典型的增强ct表现:快进慢出. - 抖音
图片尺寸1920x1920
ct示巨块肝癌,肿瘤本身不会传染
图片尺寸512x468
一位"肝癌晚期"患者的自述:没想到二十多年了,我还活着
图片尺寸640x492
乙肝病变转成癌中医治疗显成效
图片尺寸2304x1728
【喜讯】楚雄州人民医院首例完成经介入治疗为中晚期巨块型肝癌患者
图片尺寸2000x2667
一位典型肝癌ct图像,增强ct鉴别肝癌,肝囊肿肝血管瘤结果要点
图片尺寸864x486
【讲座】肝血管瘤与肝癌影像学鉴别
图片尺寸3264x1836
复发率高达70%,这个疗法降低肝癌术后复发率
图片尺寸640x732
肝癌影像图
图片尺寸640x542
肝细胞肝癌ct病例图片影像诊断分析
图片尺寸600x421
肝癌:增强ct,典型"快进快出".
图片尺寸640x480![【病例讨论】男性,64岁,肝右叶巨块性肝癌 [病例帖]](https://i.ecywang.com/upload/1/img1.baidu.com/it/u=3166380531,4231449244&fm=253&fmt=auto&app=138&f=JPEG?w=227&h=500)
【病例讨论】男性,64岁,肝右叶巨块性肝癌 [病例帖]
图片尺寸640x1410
门诊行上腹部增强ct检查示:肝左叶,右叶多发异常强化影,考虑肝癌,afp
图片尺寸1080x1440
中年b肝男腹胀难耐就医确诊肝癌 贪杯终酿「肝悲」
图片尺寸760x425
【临床医生了解】"肝细胞癌"典型ct强化方式,"快进快出"
图片尺寸1152x720
原发肝癌病例讨论
图片尺寸4128x2322