肝癌影像图片

介入治疗肝癌
图片尺寸2000x2667
肝癌影像图
图片尺寸640x542
中年b肝男腹胀难耐就医确诊肝癌 贪杯终酿「肝悲」
图片尺寸760x425
超全总结不典型肝癌的各类影像表现与病例详解
图片尺寸858x1234
承医附院肝胆外科"三步法"右半肝切除治疗肝癌 - 好大夫在线
图片尺寸4608x3456
"巨大右肝癌"老年女性患者,肿瘤约15cm大小,与肝后下腔静脉关系密切.
图片尺寸1988x1541
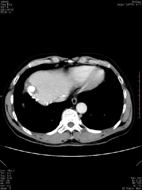
肝癌ct(图)
图片尺寸1433x975
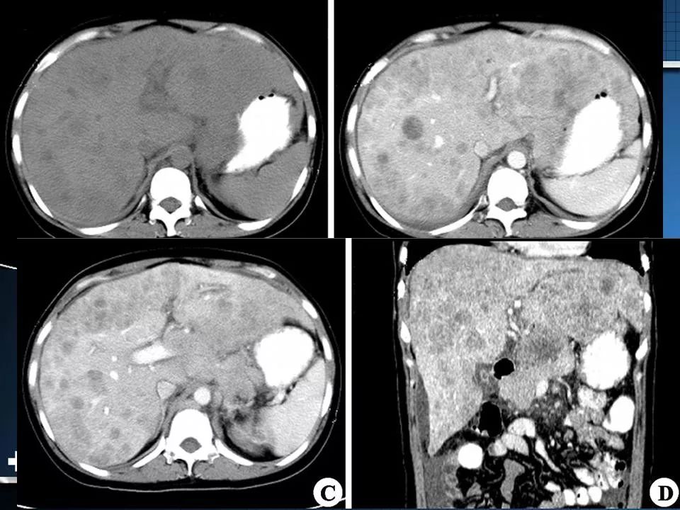
原发性肝癌的影像诊断影像天地
图片尺寸960x720
肝癌术后复查,再次tace
图片尺寸2666x2000
肝脏丨透明细胞癌的影像表现_医学界-助力医生临床决策和职业成长
图片尺寸1080x810
eurradiol没有快进快出的肝细胞肝癌到底是为什么
图片尺寸762x909
一例巨大肝癌消融治疗分享:兼答消融究竟能治疗多大的肝癌?
图片尺寸457x610
肝癌,肋骨转移,tace及放疗后肿瘤缩小,转移瘤缩小
图片尺寸2667x2000
射频消融治疗肝癌
图片尺寸2667x2000
肝细胞肝癌ct病例图片影像诊断分析
图片尺寸600x421
肝胆外科病例分享:肝中叶切术治疗巨块型肝癌1例
图片尺寸2667x2000
原发性肝癌的影像诊断影像天地
图片尺寸960x720
乙肝肝硬化伴原发性肝癌deb-tace治疗cr一例
图片尺寸640x611
肝癌影像学诊断:ct?mri?tace后碘油ct?
图片尺寸672x640
tace联合ct引导下肝癌射频消融术——濮阳市人民医院介入科
图片尺寸1200x1598