肝癌肿瘤

来看看号称癌中之王的肝癌长什么样?
图片尺寸1241x1280
肝癌为什么要分期,该如何理解这种分期方式呢?
图片尺寸2000x2667
广州金沙洲医院国际精准肿瘤中心龙志雄教授带你探索肝癌放射治疗
图片尺寸9088x7392
病案现场巨大肝癌施行alpps手术让患者重获新生
图片尺寸547x416
又一例巨块型肝癌!这个病人是一个58岁的男性,肚子胀,疼,将 - 抖音
图片尺寸932x700
肝癌瘤结节切面图
图片尺寸750x500
巨大肝癌!每天喝酒,喝了三十年;一天一包烟,吸了三十年,再 - 抖音
图片尺寸4000x1800
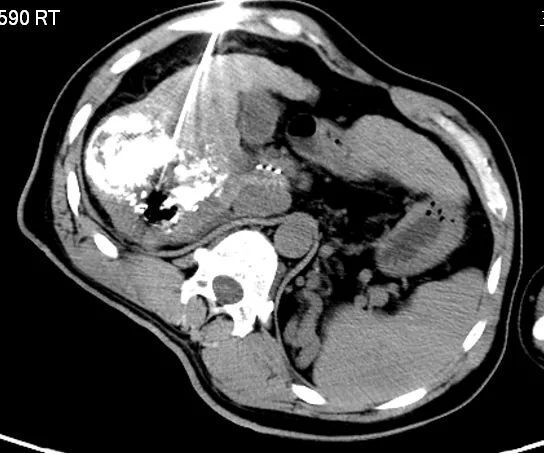
专科检查及增强ct,初步诊断为肝癌,测量肿瘤直径达7cm
图片尺寸1080x1080
肝癌是一种常见恶性肿瘤,如何预防
图片尺寸1729x1081
据世界卫生组织统计,近年来,全球原发性肝癌的年发病率在所有恶性肿瘤
图片尺寸2667x2000
巨型肝癌
图片尺寸1023x848
肝癌肿瘤,从1cm发展至5cm,大概需要多长时间?
图片尺寸600x416
中晚期肝癌的介入联合消融治疗 中晚期肝癌,介入消融快速减瘤,效果
图片尺寸1920x1440
患者肝癌,肿瘤大于5厘米,予以腹腔镜切除
图片尺寸490x653
65岁大爷患肝癌,一个月后肿瘤竟然被"饿"死,到底怎么回事?
图片尺寸640x473
肝癌患者越来越多,再三提醒:家中的3种食物,尽早撤下餐桌
图片尺寸640x417
4岁患儿,肝脏肿瘤
图片尺寸2667x2000
如何预防肝癌_肝脏_食物_恶性肿瘤
图片尺寸1258x686
"名院名医话健康@哈密市肿瘤医院"系列4||肝癌晚期没开刀病灶就消失了
图片尺寸544x454
左肝肿瘤今日行左半肝切除#肝癌 - 抖音
图片尺寸1150x1550