肝破裂b超图

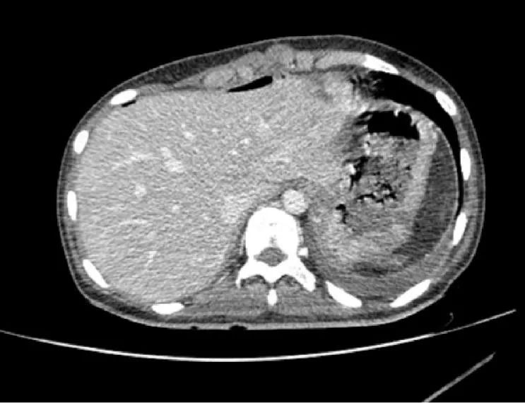
术前ct提示:脾破裂,肝周,脾脏周围积血手术过程中近年来,淄博市中心
图片尺寸600x436
至今留着当年肝破裂修复术后的疤痕,这也是他体外唯一可见的开腔
图片尺寸540x405
门静脉压力为12cmh2o(压力正常),造影显示肝内外门静脉均正常(图4)
图片尺寸743x570
武进中医医院外周介入团队毫厘之间守护生命的铅衣战士
图片尺寸799x504
原发性肝癌你知道多少
图片尺寸368x303
warren手术治疗(图1),降低门静脉压力,控制食管胃底静脉曲张破裂出血
图片尺寸600x402
鸡脂肪肝综合征
图片尺寸600x379
医生团队为徐阿姨紧急手术.
图片尺寸400x300
我们的脚指甲大部分都是粉红色的,硬度适中,不爱破裂,如果肝脏出了
图片尺寸574x441
甘孜男子肝破裂大出血近七成 医生奋战7小时挽回生命
图片尺寸600x800
学生误吞6厘米长铆钉内镜下巧取化险为夷
图片尺寸1080x665
42岁宝妈突然肝破裂…医生:这样带娃要不得,很多家长都在犯!
图片尺寸440x440
学生误吞6厘米长铆钉内镜下巧取化险为夷
图片尺寸304x374
曝火风40岁时被认证活佛曾肝破裂缝77针
图片尺寸444x430