肝破裂ct图片

20岁的他,肝脏大范围破裂!
图片尺寸1080x810
ct表现包膜下破裂中央破裂完全性破裂分类脾破裂肾脏泌尿系统胰腺肝脏
图片尺寸1080x810
武汉12岁男孩骑车玩耍遭意外竟然摔成肝破裂
图片尺寸1280x1108
茂名一13岁少女摔一跤倒致肝破裂,幸好有他们医治!_肝脏_张大伟_治疗
图片尺寸421x297
险南平一小伙醉酒不慎摔了一跤致肝破裂医生死亡率高达80以上
图片尺寸734x548
术前ct提示:脾破裂,肝周,脾脏周围积血手术过程中近年来,淄博市中心
图片尺寸600x436
腹部外伤致肝破裂1例
图片尺寸680x907
【病案】孕妇自发性肝破裂成功治愈
图片尺寸454x320
我院成功完成一例外伤性肝破裂第七段切除术
图片尺寸599x799
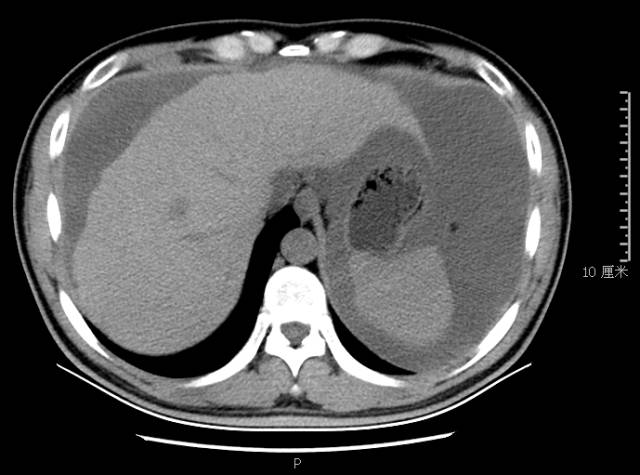
肝外伤影像学之:计算机断层扫描(ct)
图片尺寸380x296
ct表现肝是腹部外伤时易累及的实性器官,仅次于脾,肝创伤的原因包括
图片尺寸442x397
请教外伤性肝破裂术后胆汁瘘的后续治疗
图片尺寸3648x2736
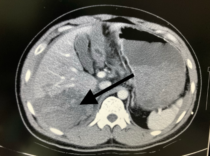
2014年病人,右胸腹撞击伤,术前ct显示肝破裂(右半肝密度不均)
图片尺寸690x517
一例不寻常肝破裂急救手术的纪实
图片尺寸1080x1439
腹部ct等等 ct影像诊断(正常表现-肝脏) 影像诊断(正常表现-肝脏)
图片尺寸1080x810
ct表现包膜下破裂中央破裂完全性破裂分类脾破裂肾脏泌尿系统胰腺肝脏
图片尺寸1080x810
肝破裂.jpg
图片尺寸1927x1567
ct在诊断肝损伤中的价值
图片尺寸1889x2056
图2c肝脏成扇贝样改变(肝脏由于受肿瘤实质性或囊性组织压迫而其实质
图片尺寸640x475
术中发现肝右前分支血管破裂,造影剂外溢!
图片尺寸512x512