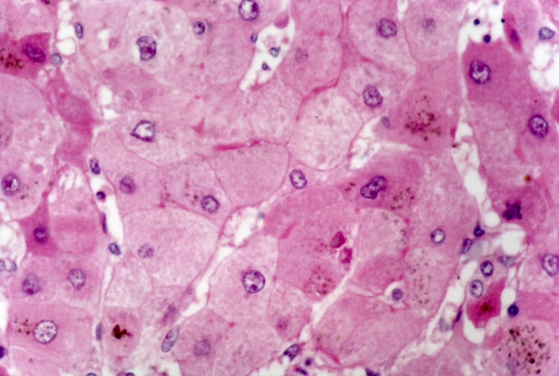
肝细胞嗜酸性变
嗜酸性变多累及单个或几个