肝细胞坏死

肝脏he染色-肝细胞病变不同形态分辨②坏死 直接看图
图片尺寸960x1280
肝脏上有结核样坏死灶
图片尺寸1952x2592
实习切片-ij③肝细胞坏死
图片尺寸1080x810
药物性肝损伤:肝细胞广泛坏死
图片尺寸504x331
图2 广泛肝细胞炎症坏死,以1,2区为主
图片尺寸600x450
医学实验课Ⅰ病理学实验之肝细胞坏死
图片尺寸1080x809
肝穿刺送检标本镜下如图所示箭头所指肝细胞出现何种病变
图片尺寸443x336
结构,在受到免疫细胞清除过程中引发持续炎症,比较常见的是肝细胞坏死
图片尺寸703x250
图7 肝细胞桥样坏死区伴网状塌陷区铁沉着
图片尺寸600x1150
慢性肝淤血:中央静脉周围坏死肝细胞脂褐素沉着
图片尺寸504x330
肝脏坏死斑块
图片尺寸2592x1936
肝上有白色坏死灶
图片尺寸2592x1944
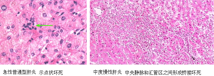
此型肝炎病变较急性肝炎肝细胞坏死更严重.
图片尺寸1435x756
肝硬化肝细胞气球样变性,点状坏死
图片尺寸700x714
肝脏有圆型坏死灶
图片尺寸780x1040
形成桥接样坏死,周边细胞肿胀变性,小叶间点灶状坏死,肝细胞毛玻璃样
图片尺寸600x450
脂肪肝患者肝细胞脂肪变性或坏死,且常伴有脾脏肿大,肝脾功能异常可
图片尺寸640x430
肝组织内假小叶形成,肝细胞气球样变,较多空泡状
图片尺寸600x424
(肝穿)中度小叶性肝炎(多数新旧不一的桥接坏死带)符合aih
图片尺寸893x439
坏死带已塌陷,其中见较广泛的再生肝细胞团(过碘酸-希夫染色,肝细胞呈
图片尺寸615x369