肝细胞颗粒变性

肝细胞颗粒变性
图片尺寸640x482
肝颗粒变性切片红蓝铅笔绘图
图片尺寸1920x1440
肝细胞脂肪变性
图片尺寸3308x4608
p>病理|肝脂肪变性红蓝铅笔绘图 br>注:(肝)脂肪变发生于(肝)细胞内
图片尺寸1920x1920
肝颗粒变性2
图片尺寸600x450
病理学#病理学实验报告·细胞,组织的适应与损伤肝脂肪变性·坏死
图片尺寸1080x830
肝细胞脂肪变性
图片尺寸1080x1278
肝细胞脂肪变性
图片尺寸1920x1920
1.肝细胞的脂肪变性
图片尺寸4000x3000
病理切片 | 肝细胞脂肪变性 没想到又到了观察切片华红蓝铅笔的时候了
图片尺寸1920x2560
病理实验报告肝脂肪变性
图片尺寸1080x772
人肝颗粒变性切片生物显微镜标本动物植物细胞载玻片观察实验高校
图片尺寸1080x1080
肝细胞水肿病理he染色.肝细胞坏死,水肿疏松#医生日常 #医 - 抖音
图片尺寸1920x1536
肝细胞脂肪变性
图片尺寸1080x1439
图来自教材2.肝脂肪变性:胞浆有脂滴空泡,大小不等,核被挤到一侧.3.
图片尺寸960x720
病理|肝脂肪变性红蓝铅笔绘图 注:(肝)脂肪变发生于(肝)细胞内 pic1中
图片尺寸1920x1922
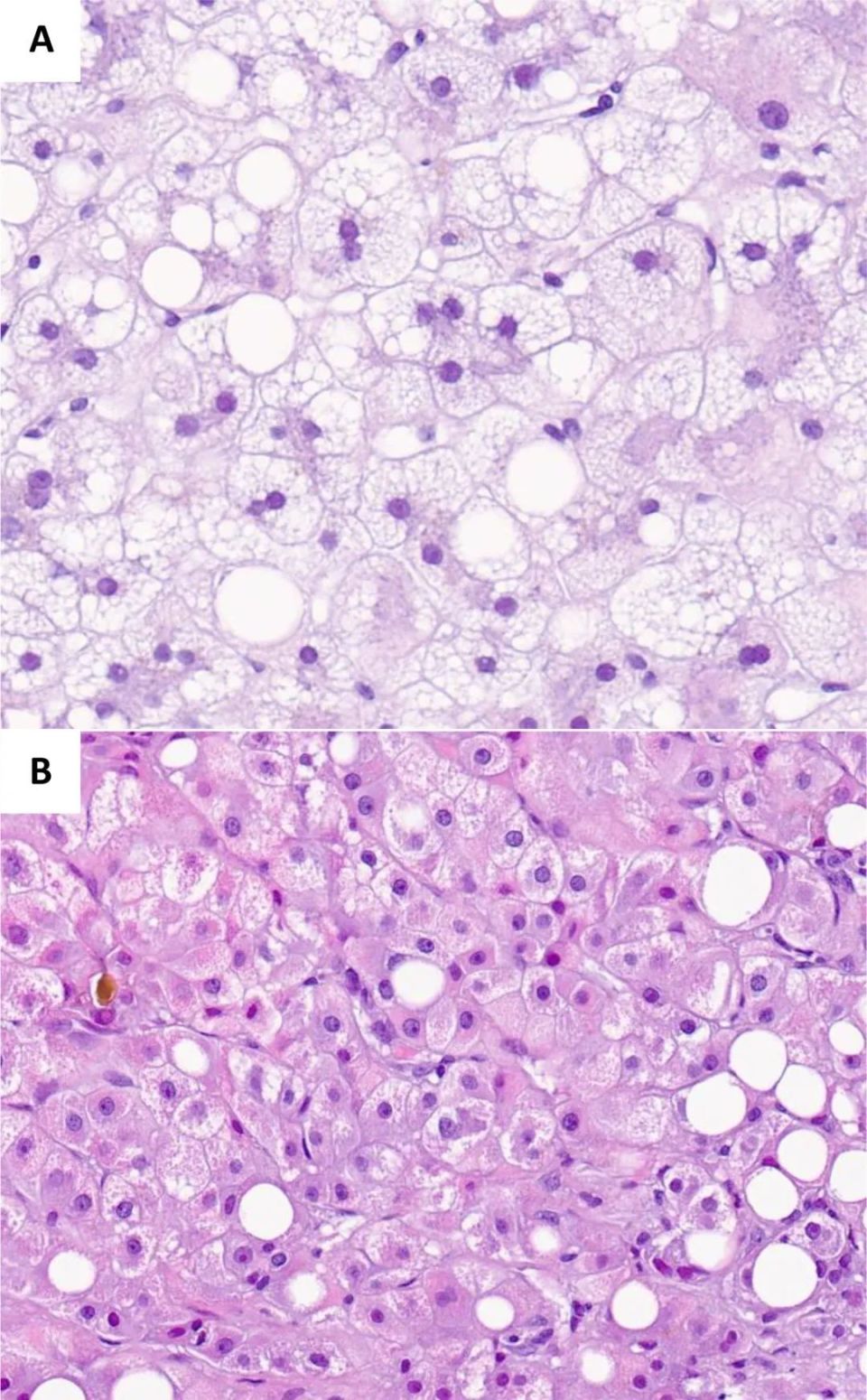
认识酒精性泡沫样肝脂肪变性,千万别再误诊为酒精性肝炎了!
图片尺寸960x1550
一肝细胞变性
图片尺寸936x720
肝细胞脂肪变性 #实验报告 #医学生笔记 #复习资料 #切片 镜贤技
图片尺寸1280x670
回报一下小红薯,干货多多,继续加油哦#病理实验报告 #肝细胞脂肪变性
图片尺寸1080x1439