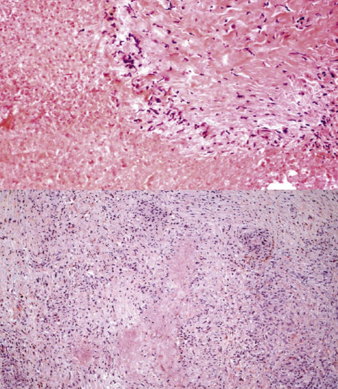
肝肉芽肿

肝脏丨肝肉芽肿病
图片尺寸960x720
【超声随响】第26期 肝脏嗜酸性肉芽肿性多血管炎
图片尺寸640x480
肝脏肿大,变硬.
图片尺寸1200x1600
千禧年代 -唱片公司
图片尺寸300x343
杨永峰教授:以肝损伤为主要表现的肉芽肿性疾病-腾讯新闻
图片尺寸493x568
肝脏丨肝肉芽肿病
图片尺寸960x720
肝脓肿的治疗
图片尺寸665x925
肝脓肿
图片尺寸1080x810
【超声随响】第26期 肝脏嗜酸性肉芽肿性多血管炎
图片尺寸640x480
1.风湿性心内膜炎2.大叶性肺炎灰色肝样变期3.胃溃疡4.结核肉芽肿5.
图片尺寸1080x736
【共享】这么漂亮的肝囊肿,您见过吗?
图片尺寸3264x2448
浅谈肝囊肿 - 好大夫在线
图片尺寸625x488
特殊部位的肝囊肿 - 好大夫在线
图片尺寸1440x1080
呼和浩特市第一医院医学影像科黄色肉芽肿性胆囊炎病例解析
图片尺寸469x590
炎性肉芽肿
图片尺寸350x350
宝宝肝大是什么原因引起的
图片尺寸500x434
04肉芽肿肉芽肿分为全身性以及局部发作性,如果是全身性的肉芽肿通常
图片尺寸1000x750
体检所经常发现的肝囊肿为何物?
图片尺寸640x430
神秘的黄色肉芽肿_尹磊医生文章_海军军医大学第三附属医院(东方肝胆
图片尺寸720x462
对颅内肿瘤,脓肿与肉芽肿,寄生虫病,外伤性血肿与脑损伤,脑梗塞与脑
图片尺寸2048x1289