肝胆管癌

胆管癌Ⅰ型根治性切除术
图片尺寸2004x1411
胆管癌Ⅰ型根治性切除术
图片尺寸1820x1310
胆管癌Ⅰ型根治性切除术
图片尺寸2074x1386
一院肝脏微创外科成功实施高难度机器人泰姬陵手术救治肝门胆管癌重患
图片尺寸550x397
胆管癌Ⅰ型根治性切除术
图片尺寸983x409
肝门部胆管癌一例 术者王勋副教授
图片尺寸2667x2000
重医三院医疗动态妙手回春别平教授团队完成高难度肝门部胆管癌切除术
图片尺寸560x457
有何原因会引发胆管癌
图片尺寸875x501
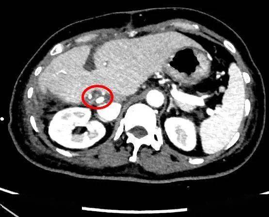
b超和ct检查显示他的胆管内有明显扩张,胆囊壁增厚,肝内胆管也有扩张
图片尺寸640x389
肝门胆管癌的外科治疗进展_肝门胆管癌_治疗方式_学术/新进展 - 好
图片尺寸4032x3024
确诊2个月的胆管癌患者从确诊到临走前1天的变化附照片
图片尺寸809x889
重医三院医疗动态妙手回春别平教授团队完成高难度肝门部胆管癌切除术
图片尺寸1050x589
名医名科胆管癌不可怕普外科有办法
图片尺寸660x383
肝内胆管癌
图片尺寸1005x669
没有肿瘤复发,这也意味着即使停用帕博利珠单抗治疗肝内胆管癌
图片尺寸560x695
重医三院医疗动态妙手回春别平教授团队完成高难度肝门部胆管癌切除术
图片尺寸555x448
重医三院医疗动态妙手回春别平教授团队完成高难度肝门部胆管癌切除术
图片尺寸572x465
肝内胆管癌
图片尺寸520x398
胆管癌
图片尺寸660x472
得了胆管癌该怎么办?
图片尺寸450x406