肝脓肿ct表现特点
![[共享]一张典型的肝脓肿ct片](https://i.ecywang.com/upload/1/img0.baidu.com/it/u=2753468892,3722678557&fm=253&fmt=auto&app=138&f=JPEG?w=667&h=500)
[共享]一张典型的肝脓肿ct片
图片尺寸1024x768
一例确诊的肝脓肿,ct平扫 增强
图片尺寸512x512
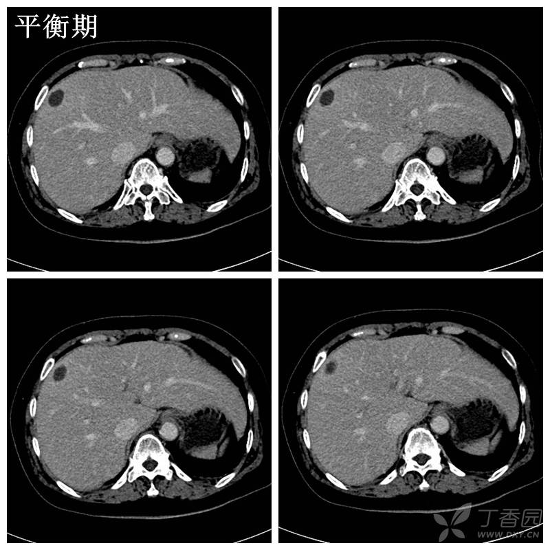
典型肝脓肿平扫增强
图片尺寸512x512
这个肝脓肿的病原你想到了吗
图片尺寸589x482
奉献一份不错的病例比较典型之肝脏病变结果已公布肝脓肿
图片尺寸912x912
肝脓肿的ct病例图
图片尺寸600x745
一例确诊的肝脓肿,ct平扫 增强
图片尺寸512x512
【病例】肝脓肿1例ct影像表现
图片尺寸512x512
【病例】肝脓肿1例ct影像表现
图片尺寸612x561
病例53反复发热两周肝脓肿
图片尺寸2177x2083
肝脓肿--ct病例图片影像诊断分析
图片尺寸591x492
一例确诊的肝脓肿,ct平扫 增强
图片尺寸512x512
ct肝脓肿
图片尺寸1080x810
每日一例480例肝脓肿的诊断及鉴别
图片尺寸1080x810
一例确诊的肝脓肿,ct平扫 增强
图片尺寸512x512
细菌性肝脓肿的ct诊断 - 丁香园论坛
图片尺寸800x800
腹部ct扫描显示一巨大的气性肝脓肿
图片尺寸500x666
肝脓肿影像学表现:鉴别1,ct平扫:低密度影,2,脓肿壁强化,形成"环征"单
图片尺寸1080x608
病例分享|肝脓肿分享
图片尺寸600x552
腹部阿米巴肝脓肿的ct表现
图片尺寸700x394