肝血管瘤图片ct

肝海绵状血管瘤的影像诊断
图片尺寸1080x945
图 影像诊断报告(肝海绵状血管瘤)
图片尺寸720x564
肺ct:实变阴影内支气管充气征
图片尺寸1920x2536
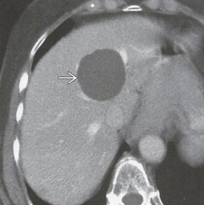
肝脏血管瘤
图片尺寸500x500
肝血管瘤真的不用管吗?
图片尺寸1846x1280
孩子肝功能异常相关科普资讯
图片尺寸1016x960
8x1.5cm肝血管瘤,是否该担忧?
图片尺寸900x1200
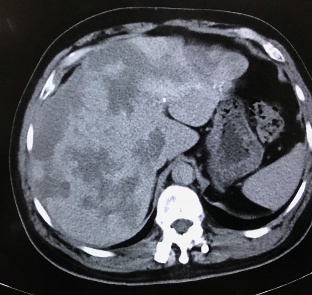
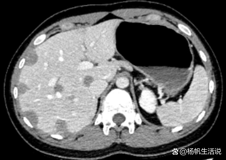
进一步行腹部增强ct检查后,确诊为肝脏海绵状血管瘤,大小约6
图片尺寸1080x818
肝海绵状血管瘤的影像诊断
图片尺寸623x620
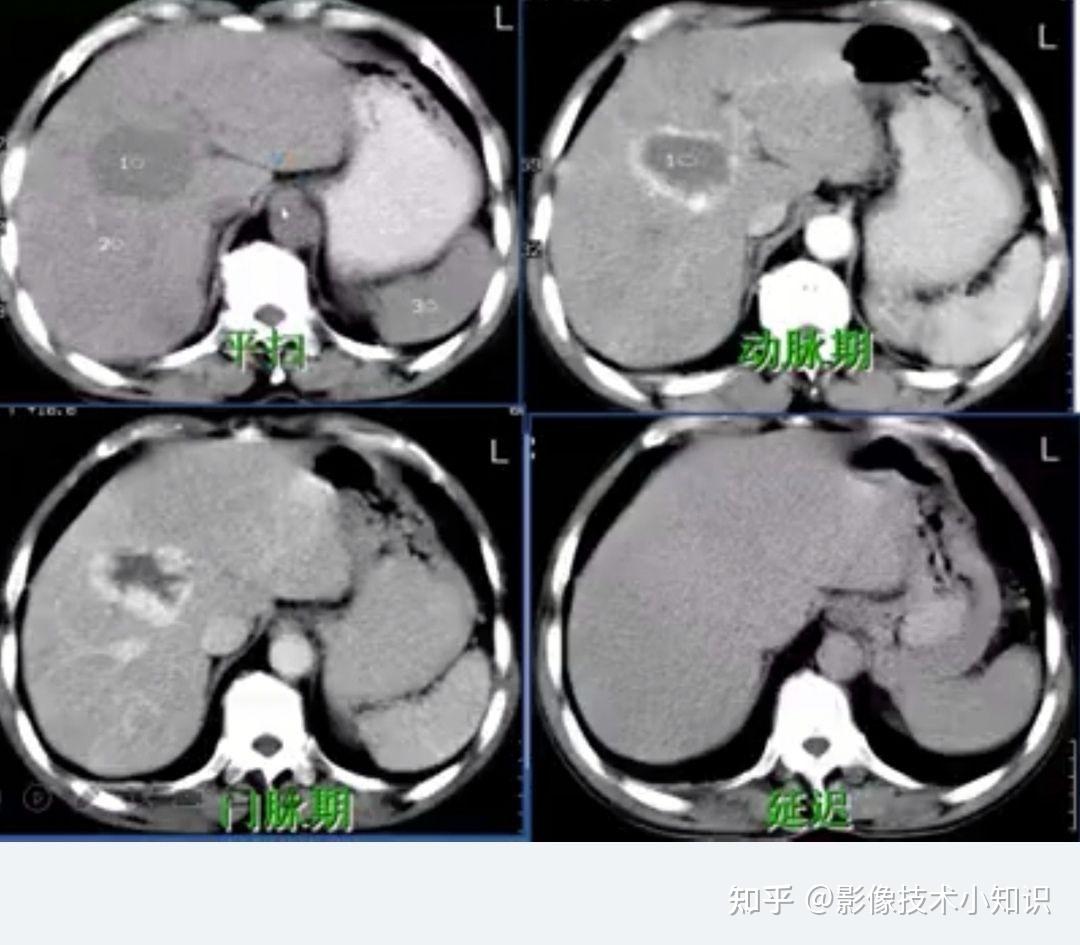
目前,影像学检查(如b超,ct,mri)是诊断肝血管瘤的主要方法
图片尺寸600x497
肝血管瘤要紧吗?
图片尺寸841x547
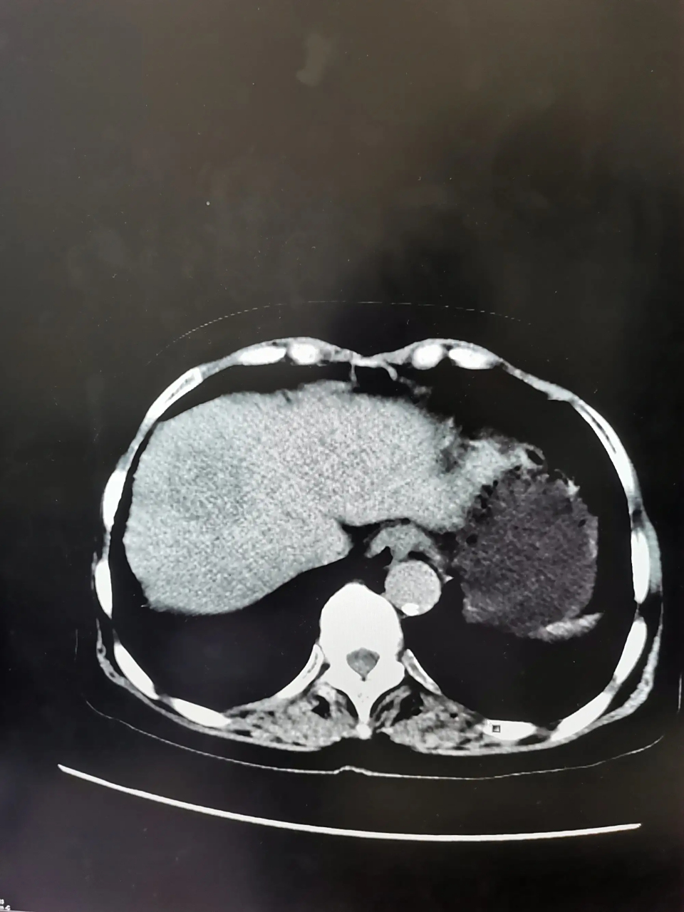
肝血管瘤
图片尺寸1280x720
肝血管瘤图片 初期图片 肝血管瘤图片
图片尺寸4032x3024
读书笔记-肝脏良性肿瘤的影像学特征
图片尺寸640x1705
一图学习肝囊肿,血管瘤,转移瘤,fnh,肝腺瘤,肝癌的mr影像表现
图片尺寸1080x1290
肝脏上皮样血管内皮瘤影像表现
图片尺寸888x630
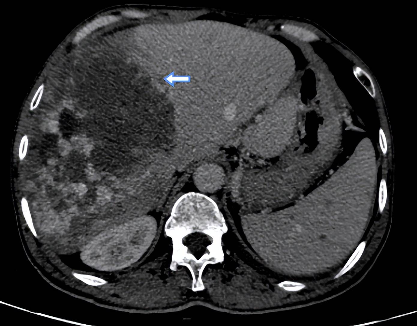
肝血管瘤定期复查不容忽视!
图片尺寸1390x1086
今天在下楼买东西遇到一个人,神经兮兮的,一看见我就说我得了肝癌,我
图片尺寸960x1280
ct),结果显示散在的实性肺结节,数个肝血管瘤和双叶亚厘米级肝脏低
图片尺寸1080x1289
肝血管瘤增强ct表现肝上囊肿和血管瘤有核磁什么区别肝癌的典型超声
图片尺寸400x403