肝转移瘤ct

肝脏转移瘤的影像学诊断
图片尺寸653x958
肝脏影像系列六肝内多发转移瘤
图片尺寸451x352
肝脏疾病的ct表现
图片尺寸1080x1440
肝脏多发转移瘤(图)
图片尺寸600x1046
图11-4-3a肝癌后腹腔转移
图片尺寸950x769
肝脏多发病例,转移瘤ct1606210004?
图片尺寸960x878
肝脏转移瘤的影像学诊断
图片尺寸556x958
肝脏转移瘤ct1 mhc,胃癌(147580) 胃癌肝转移
图片尺寸1080x810
肝转移瘤
图片尺寸512x512
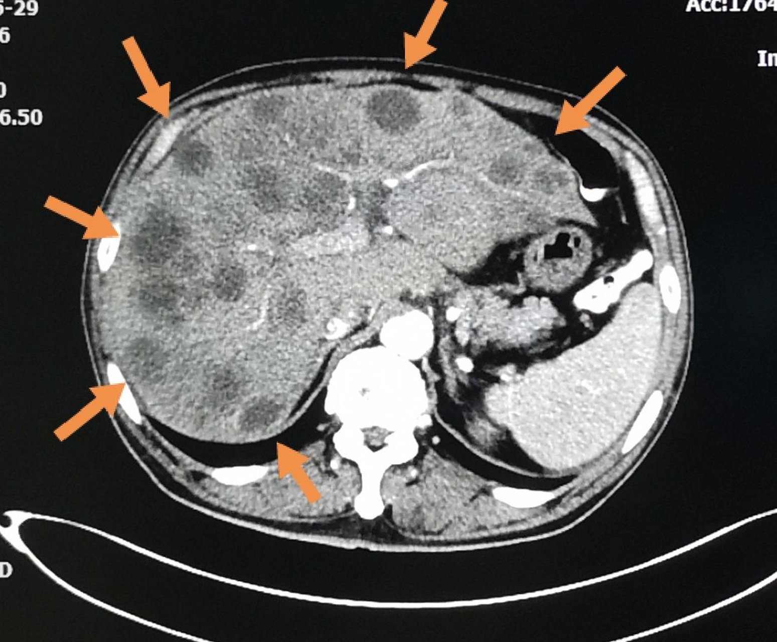
66岁老人,突然不爱吃饭3天,肚子胀, ct发现肝脏长了几十个圆形转移瘤
图片尺寸1549x1280![【病例讨论】原发肝癌肝内转移介入治疗后腹腔转移 [病例帖]](https://i.ecywang.com/upload/1/img1.baidu.com/it/u=4048817922,3404629014&fm=253&fmt=auto&app=138&f=JPEG?w=500&h=667)
【病例讨论】原发肝癌肝内转移介入治疗后腹腔转移 [病例帖]
图片尺寸652x870
肝转移癌ct检查流程设计与优化探讨学习丨影像天地
图片尺寸640x480
病例肝转移瘤1例ct影像表现–影像ppt
图片尺寸512x512
肝脏转移瘤的影像学诊断
图片尺寸667x958
肝转移瘤
图片尺寸512x512
肝转移瘤
图片尺寸780x1052
病例肝转移瘤1例ct影像表现–影像ppt
图片尺寸512x512
病例肝转移瘤1例ct影像表现–影像ppt
图片尺寸512x512
肝脏转移瘤ct2
图片尺寸1080x810
乳癌术后5年余考虑肝转移ct已经出来跪求治疗
图片尺寸1536x2048