肝转移癌图片

肝切除术后肿瘤肝内转移的影像表现
图片尺寸571x449
转移性肝癌
图片尺寸500x551
冷冻消融治疗肝脏转移癌.jpg
图片尺寸600x450
癌症在肝脏的转移灶,最麻烦的是,开始转移,肝脏根本无感知,只有等肝脏
图片尺寸2425x1280
nras突变转移性肝内胆管癌获益曲美替尼联合羟氯喹和贝伐珠单抗,os达
图片尺寸1080x1021
肿瘤转移到肝脏就没救了吗?
图片尺寸533x300
结肠癌肝转移,可治愈吗?他最终成功转化,消除肿瘤
图片尺寸640x458
结肠癌术后11年肝转移,64岁女子再战恶性肿瘤:依从性较差,治疗不走"
图片尺寸425x419
术后病理示:乳腺侵润性导管癌,复查发现肝转移灶
图片尺寸512x512
一例her2晚期胃癌肝转移病例的介入联合靶向治疗过程丨抗her之路 与妮
图片尺寸909x410
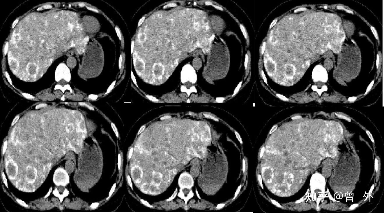
图2. 治疗前后肝转移灶变化
图片尺寸944x734
肝转移瘤
图片尺寸394x320
肝脏丨转移瘤影像表现
图片尺寸1080x607
肝转移癌
图片尺寸511x373
【病例分享】直肠癌多发肝转移:病理完全缓解一例
图片尺寸726x529
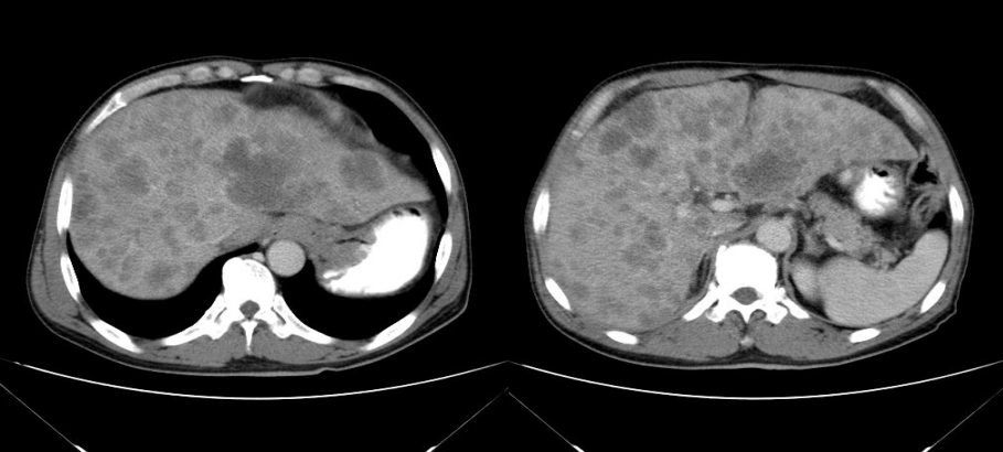
术前ct提示肝右叶转移瘤
图片尺寸1200x675
一例her2晚期胃癌肝转移病例的介入联合靶向治疗过程丨抗her之路 与妮
图片尺寸993x648
肝脏转移瘤的影像学诊断
图片尺寸556x958
直肠癌多发肝转移 icg荧光腹腔镜下肝转移癌切除 术中射频 共处理6个
图片尺寸2667x2000
肝多发转移瘤的药物保护下介入治疗
图片尺寸1319x730