肠套叠超声表现

发几张自己做的小儿肠套叠的图,比较典型 - 超声医学讨论版 - 爱爱医
图片尺寸768x576
超声中如何区分肠套叠与回盲肠结肠交界
图片尺寸604x845
【贴图】肠套叠 - 超声医学讨论版 - 爱爱医医学论坛
图片尺寸1024x768
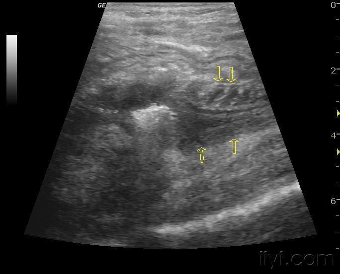
肠套叠 - 超声医学讨论版 - 爱爱医医学论坛
图片尺寸1276x886
结肠肿瘤小肠套叠 - 超声医学讨论版 - 爱爱医医学论坛
图片尺寸684x552
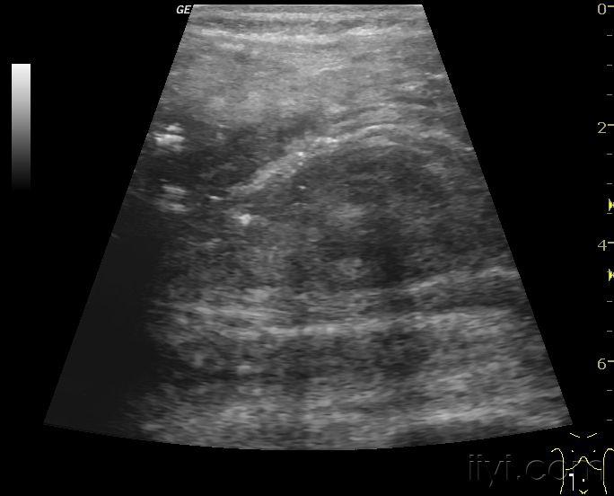
肠套叠 - 超声医学讨论版 - 爱爱医医学论坛
图片尺寸1276x886
新技术龙川县人民医院普通外科开展经超声引导下温盐水灌肠肠套叠复位
图片尺寸1000x448
肠套叠:并非都有靶环征和套筒征
图片尺寸474x973
小儿急性肠套叠的急诊超声诊断及超声特点分析
图片尺寸526x1021
如何稳准快识别肠套叠儿科识图
图片尺寸900x1079
文献学习与病例讨论:儿童肠套叠
图片尺寸960x720
肠套叠引导复位:x 线和超声孰优孰劣?
图片尺寸601x961
彩色多普勒超声诊断小儿肠套叠的临床意义
图片尺寸770x1148
肠套叠的分型超声表现鉴别诊断全说透了
图片尺寸480x384
超声中如何区分肠套叠与回盲肠结肠交界
图片尺寸445x354
超声中如何区分肠套叠与回盲肠结肠交界
图片尺寸922x357
【共享】肠套叠图片共享 - 超声医学 -丁香园论坛
图片尺寸560x564
结肠肿瘤小肠套叠 - 超声医学讨论版 - 爱爱医医学论坛
图片尺寸684x552
典型肠套叠2s.jpg
图片尺寸768x576
经典肠套叠 - 超声医学讨论版 - 爱爱医医学论坛
图片尺寸640x480