肠套叠x线图片

肠套叠
图片尺寸555x602
如何稳,准,快识别肠套叠 | 儿科识图
图片尺寸1080x1310
典型肠套叠
图片尺寸2160x3840
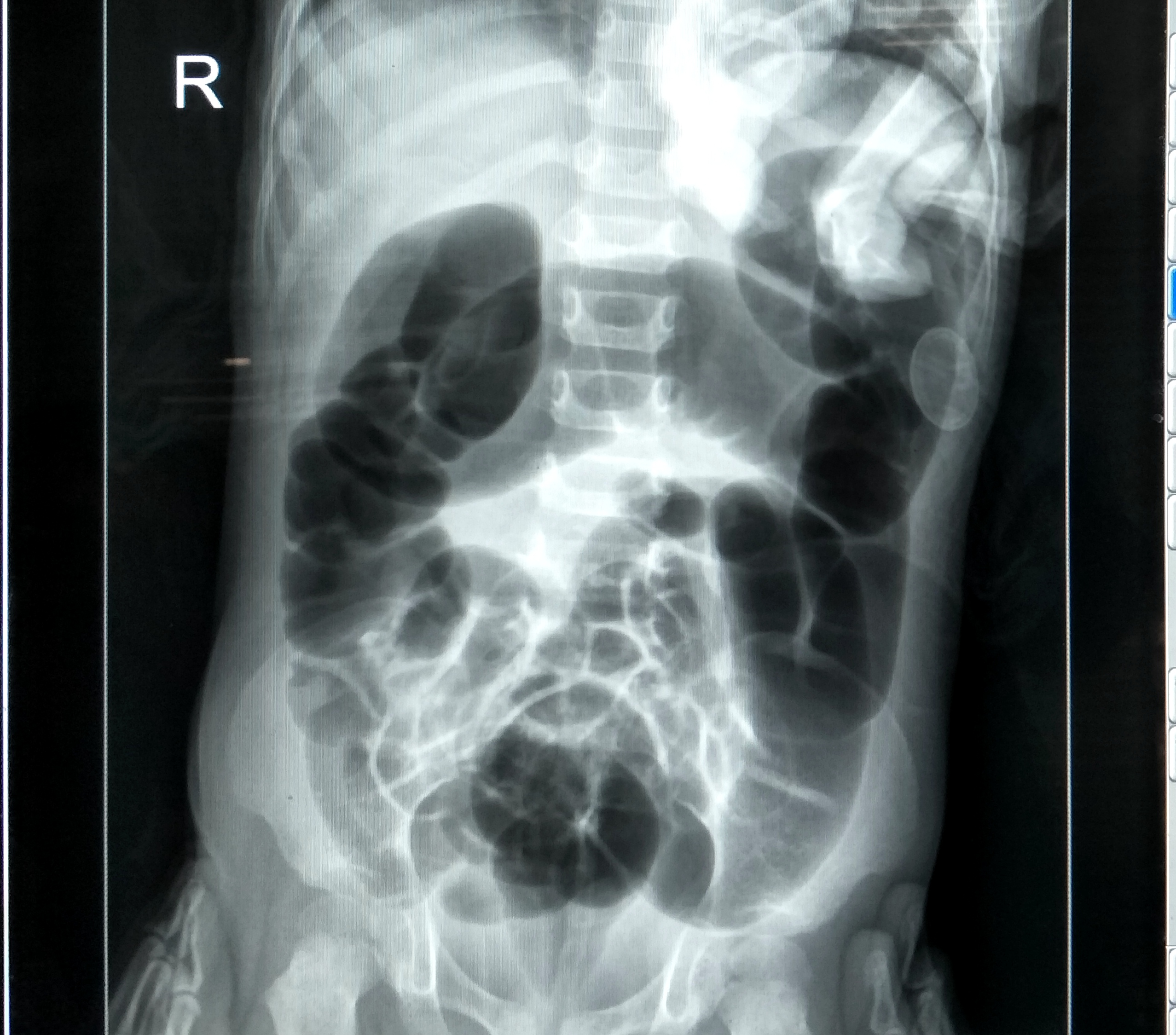
动态dr在儿童肠套叠中的应用优势
图片尺寸500x535
来源:华夏览雄 影像时间 本文重点讨论肠套叠分型,为什么现多用空气
图片尺寸960x720
小儿急性肠套叠空气灌肠难整复之征象,原因及应对措施
图片尺寸640x480
【原创】3个月男婴肠套叠(完整x线片资料)
图片尺寸584x737
小儿肠套叠的影像诊断与治疗
图片尺寸480x640![【读片】是肠套叠吗?广东同江医院病例 [病例帖]](https://i.ecywang.com/upload/1/img0.baidu.com/it/u=3169602266,1484371173&fm=253&fmt=auto&app=138&f=JPEG?w=218&h=500)
【读片】是肠套叠吗?广东同江医院病例 [病例帖]
图片尺寸2527x5793
典型的肠套叠并空气灌肠复位,请分享
图片尺寸2048x1536
被套入的"彗星"(肠套叠)
图片尺寸960x720
小儿肠套叠的影像诊断与治疗操作步骤,图片图谱图解,x射线治疗方法
图片尺寸480x640
罕见漯河2岁幼童三处肠套叠医院连做3次空气灌肠整复术
图片尺寸600x528
肠套叠空气灌肠复位2例
图片尺寸1024x1024
肠套叠影像学诊断
图片尺寸960x720
肠套叠影像学诊断
图片尺寸960x720
一例动态 dr 在肠套叠空气灌肠整复术中的应用
图片尺寸445x733
如何稳,准,快识别肠套叠 | 儿科识图
图片尺寸900x928
胃肠疾病 一 肠套叠
图片尺寸500x553
【原创】3个月男婴肠套叠(完整x线片资料)
图片尺寸618x773