肠梗阻b超图片

胎儿肠管扩张
图片尺寸150x113
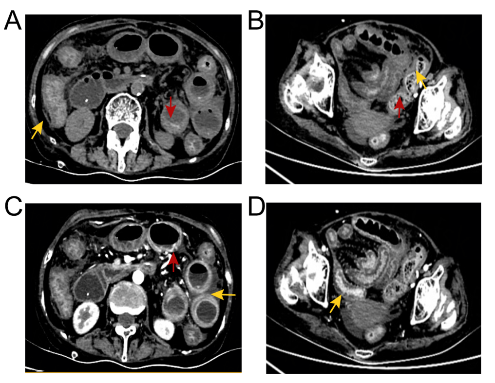
经过反复认真扫查,最终在患儿右下腹发现了梗阻点并怀疑肠腔内存在
图片尺寸720x540
你听说过小肠结石肠梗阻吗
图片尺寸3968x2976
在机械性肠梗阻中,扩张最严重的肠襻往往是在肠梗阻发生前静息直径最
图片尺寸471x397
肠梗阻的分类及影像学表现(高清图片 文字讲解)!
图片尺寸960x720
由于囊肿压迫肠管,引起了肠梗阻等症状,不及时手术,可能会有生命危险.
图片尺寸1080x799
医生紧急提醒|肠梗阻|儿童安全_网易亲子
图片尺寸660x881
肠梗阻的分类及影像学表现(高清图片 文字讲解)!
图片尺寸960x720
一位典型肠梗阻患者的x线平片,可以看到明显的扩张积气肠管.
图片尺寸1280x720
肠梗阻_新浪财经_新浪网
图片尺寸962x959
患者接受"肠梗阻"的治疗方案,在治疗阶段中腹胀加重,病情进一步恶化.
图片尺寸1016x788
孩子突发腹痛,警惕是小儿肠套叠
图片尺寸4032x3024
肠梗阻病因及并发症,你了解吗?
图片尺寸640x318
揭秘:慢性假性肠梗阻(cip)的革命性菌草微生态新疗法!_肠道_治疗_症状
图片尺寸1000x600
容易形成肠道传染病发病高峰病原体繁殖加快另一方面,入伏后天气炎热
图片尺寸494x640
肝囊肿无水酒精硬化治疗;胆管恶性肿瘤治疗;空肠营养管植入,肠梗阻
图片尺寸1017x500
今年3月22日在外院刚刚完成脑出血手术后,又继发肠梗阻,下肢静脉血栓
图片尺寸1080x810
妊娠合并肠梗阻
图片尺寸268x189
如果在腹腔内出现肿块的话,就会引起肠梗阻以及腹痛等一系列不适.
图片尺寸600x370
3,一般安排在胃镜和x线胃肠钡剂检查之前;4,禁食患者,肠梗阻,急性胰腺
图片尺寸800x500