肠系膜上动脉ct图像

【病例】自发性孤立性肠系膜上动脉夹层1例ct
图片尺寸640x541
cta显示肠系膜上动脉闭塞
图片尺寸2000x2667
【病例】肠系膜上动脉栓塞2例ct影像
图片尺寸629x505
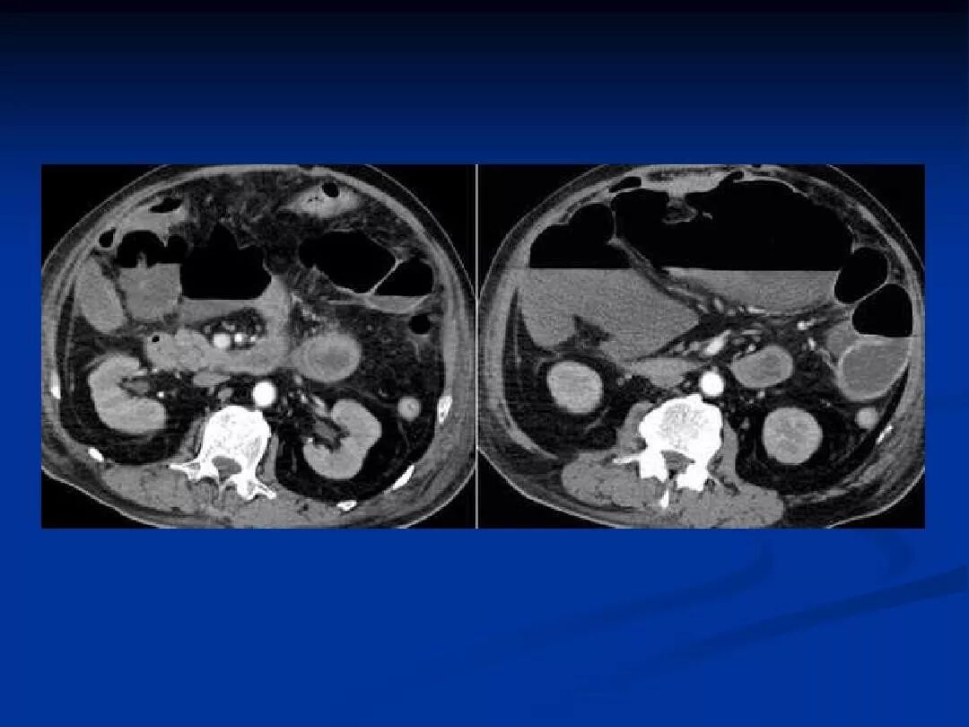
肠系膜上动脉动脉瘤,伴附壁血栓形成.
图片尺寸1100x2200
【病例】肠系膜上动脉栓塞2例ct影像
图片尺寸962x768
采用"术前肠系膜上动脉支架置入"成功救治合并重度肠缺血急性a型主
图片尺寸968x968
《新项目,新技术创新》肠系膜上动脉cta 冲锋队 王永涛
图片尺寸2000x2667
肠系膜上动脉压迫综合征
图片尺寸704x614
全腹部增强ct提示肠系膜上动脉栓塞.
图片尺寸750x562
肠系膜上动脉动脉瘤,伴附壁血栓形成.
图片尺寸1100x2200
肠系膜上动脉栓塞
图片尺寸1080x1440
介入科向高难攀登,近日完成两例复杂tips手术和一例肠系膜上动脉夹层
图片尺寸1198x1429
全腹部ct平扫 增强扫描示:肠系膜上动脉夹层形成,血管走行区周围渗出
图片尺寸680x680
急性肠系膜上动脉血栓该如何诊治一文了解
图片尺寸1080x810
肠系膜上动脉夹层——凌志新,常州七院 写美篇急腹症患者 上中腹部ct
图片尺寸608x843
我院成功开展肠系膜血管ct造影检查新技术
图片尺寸1024x892![肠系膜上动脉壁间血肿 [病例帖]](https://i.ecywang.com/upload/1/img2.baidu.com/it/u=308173072,2652933744&fm=253&fmt=auto&app=138&f=JPEG?w=674&h=500)
肠系膜上动脉壁间血肿 [病例帖]
图片尺寸1052x780
cta:可见动脉瘤为胃十二指肠动脉与肠系膜上动脉分支右结肠动脉共同
图片尺寸1199x1599
肠系膜上动脉动脉瘤,伴附壁血栓形成.
图片尺寸1100x2200
肠系膜上动脉夹层
图片尺寸576x800