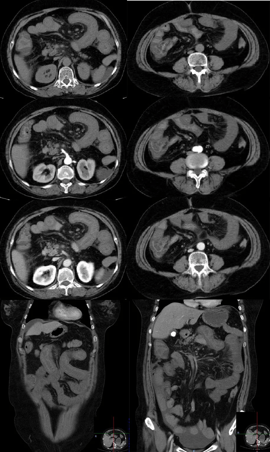
肠系膜上静脉血栓

肠系膜静脉栓塞1例
图片尺寸4032x3024
两个病例带你认识急性肠系膜血管栓塞
图片尺寸1035x1086
两个病例带你认识急性肠系膜血管栓塞
图片尺寸914x1532
肠系膜上静脉血栓形成
图片尺寸500x431
肠系膜静脉血栓形成ppt
图片尺寸800x600
早期确定性手术治疗肠系膜上静脉血栓形成 - 好大夫在线
图片尺寸1600x1200
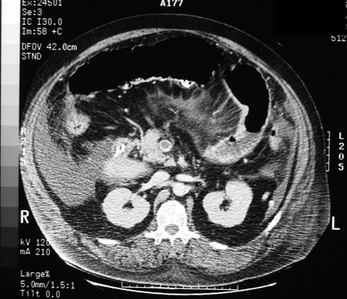
危险的肠系膜上静脉血栓形成
图片尺寸4208x3120
手把手教你平扫ct如何诊断肠系膜静脉血栓
图片尺寸1080x827
tips手术成功治愈门静脉及肠系膜静脉全程血栓患者
图片尺寸812x662
肠系膜上静脉栓塞肠坏死可惜
图片尺寸3072x4096
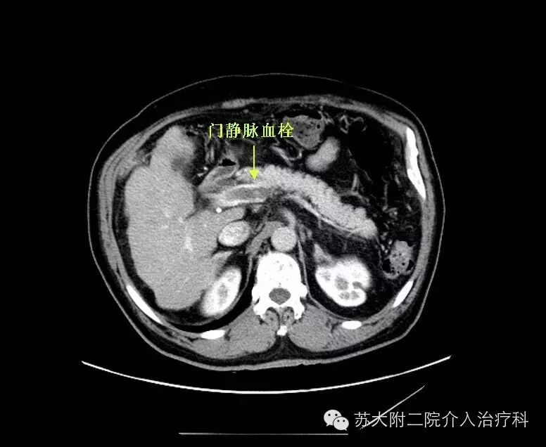
【原创】肠系膜静脉血栓的介入治疗
图片尺寸1200x900
取栓后造影显示:肠系膜上静脉及门脉主干复通良好.
图片尺寸2674x2000
早期确定性手术治疗肠系膜上静脉血栓形成 - 好大夫在线
图片尺寸1600x1200
早期确定性手术治疗肠系膜上静脉血栓形成 - 好大夫在线
图片尺寸1600x1200
速查~|血栓|小动作|静脉_新浪新闻
图片尺寸442x284
tips手术成功治愈门静脉及肠系膜静脉全程血栓患者
图片尺寸776x636
门静脉系统血栓各论
图片尺寸881x661
肠系膜静脉血栓
图片尺寸1145x1511
肠系膜上静脉血栓形成
图片尺寸512x512
危险的肠系膜上静脉血栓形成
图片尺寸4208x3120