肠系膜上静脉 超声

腹主动脉与肠系膜上动脉的夹角小于正常值十二指肠降部,水平部近段增
图片尺寸960x612
肠系膜静脉血栓
图片尺寸960x1280
胡桃夹了 胡桃夹了
图片尺寸960x1280
「漩涡征」:超声诊断小肠扭转的线索_肠系膜
图片尺寸850x649
79肾动脉78肠系膜上静脉纵切面77腹腔动脉和肠系膜上动脉纵切面
图片尺寸474x319
胃左动脉,ca:腹腔干,sma:肠系膜上动脉pv:门静脉,smv:肠系膜上静
图片尺寸670x484
资料来源网络,感谢老师的分享!坚持78 - 抖音
图片尺寸1170x2532
超声征象61面包圈内新月征_肠管_回声_外层
图片尺寸631x869
脾静脉与肠系膜上静脉汇合处静脉瘤 - 超声医学讨论版 - 爱爱医医学
图片尺寸1080x1440
2023年医学高级职称-超声医学与技术(医学高级)考试题库(含答案)_第4
图片尺寸1240x1753
图 6 和图 7 二维和 cdfi 显示肠系膜上动脉和伴行的肠系膜上静脉发生
图片尺寸701x532
超声医学与技术(医学高级)消化系统单项选择题每日一练(2016.04.27)
图片尺寸495x643
【学习笔记】肠系膜血管,门静脉示意图
图片尺寸1200x1604
及静脉(smv)的正常位置关系:肠系膜上静脉位于肠系膜上动脉的右欠方
图片尺寸640x395
三维能量多普勒超声评价胎儿肠系膜上动脉和静脉的价值
图片尺寸700x1067
不明原因腹痛,别忘了孤立性肠系膜上动脉夹层|动脉|肠系膜|患者|ismad
图片尺寸504x354
肠系膜淋巴结肿大
图片尺寸1080x1439
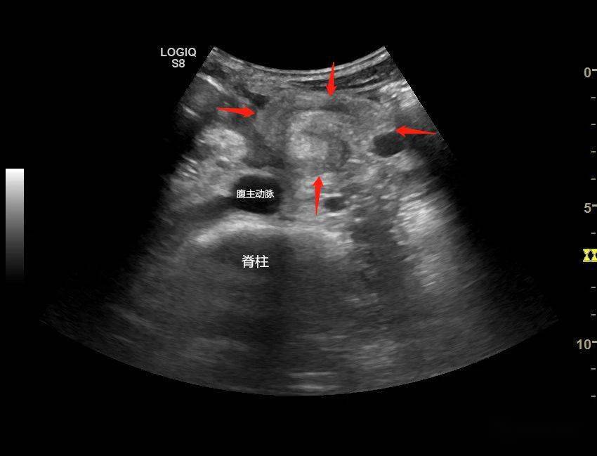
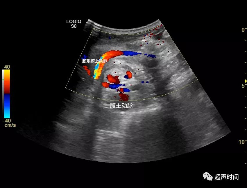
上图:彩超检查,可以显示肠系膜上动脉和肠系膜上静脉呈扭转状的位置
图片尺寸630x500
「漩涡征」:超声诊断小肠扭转的线索_肠系膜_主动脉_静脉
图片尺寸850x649
万万没想到居然是"左肾静脉压迫胡桃夹综合症",跟你们第一次听说这个
图片尺寸1171x1280