肠结核影像

【答案解析】_以下哪些是增殖型肠结核的x线表现()
图片尺寸343x528
回盲部结核
图片尺寸750x753
这例肠结核
图片尺寸1073x979
克罗恩病,肠结核,溃疡性结肠炎鉴别诊断
图片尺寸960x720
引发肺结核,侵入其他器官,引发其他器官的结核病,如肠结核,骨结核,脑
图片尺寸3249x1984
克罗恩病,肠结核,溃疡性结肠炎鉴别诊断
图片尺寸960x720
腹部结核的影像学表现影像天地
图片尺寸960x720
藏形匿影奇怪的肠道克罗恩病
图片尺寸640x572
回盲部结核
图片尺寸750x491
图文|肠结核的影像学诊断进展
图片尺寸601x300
腹部结核的影像学表现影像天地
图片尺寸960x720
【资料】典型的克罗恩病的肠镜图片 zhangxianjun 2006-12-19 23:26
图片尺寸648x562
一颗导致肠穿孔的枣核
图片尺寸640x316
克罗恩病,肠结核,溃疡性结肠炎鉴别诊断
图片尺寸960x720
医学影像学/肠结核
图片尺寸224x320
疑诊肠结核1例 - 影像医学和核医学讨论版 -丁香园论坛
图片尺寸1280x720
x光结肠
图片尺寸996x1200
中毒性巨结肠,你见过吗?_医学界-助力医生临床决策和职业成长
图片尺寸954x801
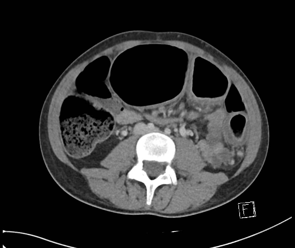
肠结核?溃疡性结肠炎?
图片尺寸512x512
肠壁增厚的ct诊断
图片尺寸900x607