肠结核CT

消化科医生开出这样一份结肠ct检查影像科直呼不敢做
图片尺寸950x1230
消化科医生开出这样一份结肠ct检查影像科直呼不敢做
图片尺寸1080x777
这例肠结核
图片尺寸1073x979
小肠ct成像
图片尺寸2355x2196
图文|肠结核的影像学诊断进展
图片尺寸601x300
回盲部结核
图片尺寸750x753
回盲部结核
图片尺寸750x491
结核性胸膜炎; 腹部ct示:双侧髂腰肌脓肿形成,腹腔积液,肠结核,结核
图片尺寸3264x2448
引发肺结核,侵入其他器官,引发其他器官的结核病,如肠结核,骨结核,脑
图片尺寸3249x1984
回盲部结核
图片尺寸750x479
肠结核?溃疡性结肠炎?
图片尺寸512x512
回盲部结核
图片尺寸750x502
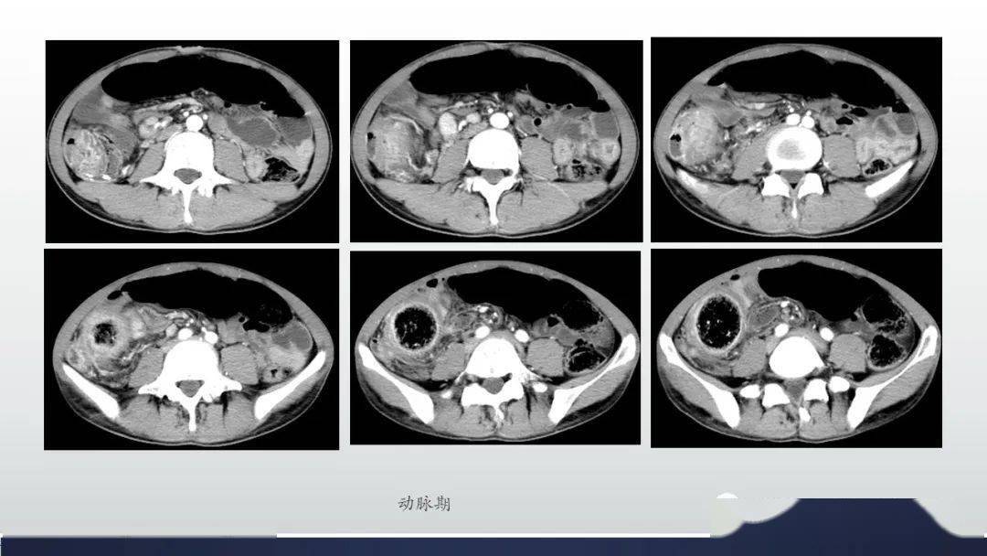
增厚的肠壁平扫,动脉期,静脉期和平衡期ct值分别是39,66,85,91 平扫
图片尺寸3000x3171
缺血性肠病和肠结核ct诊断要点
图片尺寸677x645
消化科医生开出这样一份结肠ct检查影像科直呼不敢做
图片尺寸1080x735
腹腔脓肿e.肠结核
图片尺寸732x545
克罗恩病,肠结核,溃疡性结肠炎鉴别诊断
图片尺寸960x720
结核性胸膜炎; 腹部ct示:双侧髂腰肌脓肿形成,腹腔积液,肠结核,结核
图片尺寸3264x2448
甘肃住院医师消化内科胃肠放射学章节练习20160515
图片尺寸329x658
肠管丨克罗恩病
图片尺寸1080x608